http://www.999brain.com 时间:2017-03-16 来源:癫痫外科 华刚 张立民 编辑:lsw 阅读:8725
患者小刘,男,15岁,因“反复头痛、发热伴呕吐3月,加重1周”于2016年6月29日入院,住院共30天。患者3月前(约3月10日)无明显诱因出现头痛,为胀痛,休息后可稍缓解,伴发热,最高体温约40度,同时伴有视物模糊、恶心呕吐(喷射状,具体及次数不详),伴左下肢肌力下降。于当地医院住院治疗,查头颅CT提示:1.右侧中耳胆脂瘤型乳突炎伴颅内感染、积气;2.大脑镰右侧硬膜下积液。查脑脊液常规提示白细胞1180X10*6/L;生化提示:葡萄糖:2.97nmol/L;期间癫痫发作1次,当地医院考虑诊断1.化脓性脑膜炎;2.继发性癫痫;3.右耳慢性化脓性中耳炎(胆脂瘤型);4.电解质异常。予抗感染等对症支持治疗,效果欠佳。近1周来,患者仍反复出现头痛,喷射样呕吐胃内容物。家属为进一步治疗,特来我院就诊。门诊拟“1.化脓性脑膜炎;2.继发性癫痫;3.右耳慢性化脓性中耳炎(胆脂瘤型);4.电解质异常”收入神经外八科。
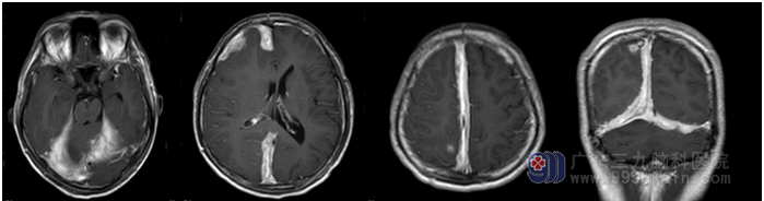
入院后查头颅MR提示:1.大脑镰右侧,小脑幕两侧、右侧额部及右枕部幕下多发硬膜外脓肿形成,右侧顶叶多发脑脓肿,考虑来源于右侧中耳乳突炎所致可能;2.右侧大脑镰下疝合并小脑扁桃体下疝形成;3.垂体变薄,考虑与颅内高压有关可能。
排除手术禁忌症后于2016-07-01行双侧脑脓肿钻孔引流术,术后予反复冲洗引流后,脓液最终引清,患者症状明显改善,后续患者转院进一步行右耳胆脂瘤型乳突炎治疗。
专家点评:
脑脓肿是一种较为严重的颅内感染性疾病,好发于中青年男性,患者多表现为剧烈头痛、 癫痫、体温升高等颅内感染征象,其中中耳炎是颅内感染较为常见的原因。经典治疗方法包括单纯抗生素应用或外科手术切除,近年来外科手术中神经导航、立体定向引导技术,术CT、MRI的应用为脑脓肿微创手术提供了基础。手术作为一种微创治疗手段,具有安全、准确的特点,适用于包膜形成期的脑脓肿和某些特殊情况下包膜未完全形成的脑脓肿。本患者考虑诊断为多发脑脓肿,大脑镰右侧、小脑膜两侧、右额、右枕、右顶均可见脓肿,颅高压明显,有手术指征,但开颅手术范围较大,手术切除难度高,且容易使脓肿扩散,造成严重并发症。手术采取导航下钻孔引流。脑脓肿治疗方案的选择应结合术前脓肿病变特点和患者个体状况,同时术后抗生素应用对确保治疗效果,降低复发风险具有积极意义。

Copyright 2006-2026 广东三九脑科医院版权所有 粤ICP备11100995号 服务性质:非营利性网站 粤卫网审(2013)10号
粤公网安备 44011102002143号