http://www.999brain.com 时间:2017-04-13 来源:神经外一科 编辑:韦庆锋 阅读:39554
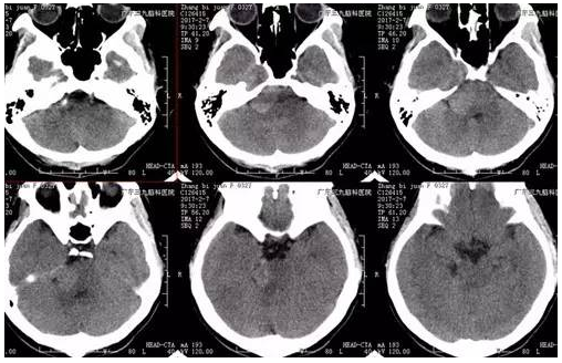
张女士,32岁,因右侧面部针刺样痛疼伴麻木持续2月余未有缓解,速来医院就诊,门诊CT提示右侧中后颅窝等密度影,收入住院治疗。入院后完善相关术前检查,术前DWI检查示右侧跨中后颅窝占位性病变呈低信号,术前磁共振示哑铃状病变,各序列以高信号为主高低混杂信号影,瘤体约4.5cm×3.7cm×3.3cm,完善检查后,行右侧中后颅窝占位性病变切除术,手术由神经一科主任张良主刀完成。术程顺利,术后患者恢复良好,未见并发症,术后MR提示肿瘤切除。

专家点评:
广东三九脑科医院神经外一科专家主任刘振业教授介绍:颅内皮样囊肿是较罕见的先天性良性肿瘤,其发病率为全脑肿瘤的0.04%-0.6%,无明显性别差异,好发于中线及中线旁,最常见于后颅窝及鞍区,亦可见于前、中颅窝底,颅缝及脑室内。本例患者生长于中后颅窝,为好发部位。

颅内皮样囊肿生长缓慢,初期患者可无明显不适,肿瘤生长到一定大小时,压迫临近的神经、血管及脑组织而出现相应的症状,本例患者始发症状为面部麻木、疼痛感,易误诊为三叉神经痛。

手术切除是治疗颅内皮样囊肿的唯一手段,应在保留神经血管的前提下,尽量切除肿瘤,肿瘤囊壁与重要脑组织、血管。神经黏附过度密切时,尽量不要尝试切除囊壁,虽然部分残留会引起术后复发,但复发率低,且生长缓慢,必要时可再次手术治疗。本例患者术后MR提示肿瘤全切除,术后恢复良好,未见明确并发症状。

Copyright 2006-2026 广东三九脑科医院版权所有 粤ICP备11100995号 服务性质:非营利性网站 粤卫网审(2013)10号
粤公网安备 44011102002143号