http://www.999brain.com 时间:2017-05-03 来源:好大夫在线 编辑:YSS 阅读:42526
潘叔,64岁,因反复发作双下肢无力半月多入院治疗。
半月前,潘叔无明显诱因出现双下肢无力,伴随头昏不适,于是到广东三九脑科医院就诊检查。
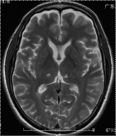
颅脑MRI提示:双侧基底节、放射冠区多发腔隙性脑梗死(如图一);颈部血管彩超提示:双侧颈动脉重度狭窄。3D-ASL提示:右侧额叶局部灌注减低,感兴趣区CBF测值为(28.39±12.97)mL/100g/min,低于对侧镜像感兴趣区测值(57.15±13.80)mL/100g/min(如图二)。DSA示:1、双侧颈内动脉起始部重度狭窄,狭窄程度均约90%,右侧狭窄长度约8mm(如图三);2、左侧颈总动脉末端中度狭窄,狭窄程度约50%,狭窄长度约1.0cm(如图四)。

图一

图二

图三

图四
神经外六科吴杰主任考虑,因双侧颈内动脉重度狭窄导致潘叔大脑半球缺血,引起双下肢无力等症状;但其右侧灌注明显减低,缺血更重,应先行手术治疗,且手术指征明确,没有手术禁忌症。
几天后,由吴杰主任主刀,在全麻下为潘叔实施右侧颈内动脉内膜剥脱术。手术在神经电生理、经颅多普勒超声(TCD)监测下进行,术中可见右侧颈内动脉起始部斑块形成,管腔明显狭窄(如图五);术中对迷走神经、舌下神经等重要结构保护良好,手术过程顺利。
术后潘叔恢复顺利,未出现高灌注综合征等并发症,左侧肢体肌力明显好转,现已康复出院。

图五

严密缝合血管

手术切除右侧颈内动脉内膜斑块

术后CTA提示:右侧颈总动脉、颈内动脉通畅
神经外六科吴杰主任介绍:脑卒中已经成为国民第1位的死亡原因;颈动脉狭性疾病是缺血性脑卒中的重要原因;颈动脉内膜剥脱术(CEA)是通过外科手术将颈动脉内的粥样硬化斑块清除,相比于内科治疗及介入颈动脉支架成形术(CAS),颈动脉内膜剥脱术(CEA)在预防脑卒中具有明显优势,具有安全、费用低、住院时间短、疗效确切等优点;目前是学术界公认的治疗颅外段颈动脉狭窄的“金标准”;对于双侧颈动脉狭窄的患者,手术先行狭窄重的一侧或引起临床症状的一侧,待病情稳定,3月后行对侧颈动脉内膜剥脱术。

Copyright 2006-2026 广东三九脑科医院版权所有 粤ICP备11100995号 服务性质:非营利性网站 粤卫网审(2013)10号
粤公网安备 44011102002143号