http://www.999brain.com 时间:2011-01-05 来源:神经外五科 编辑:谢莉 阅读:18657
随着天气的不断变冷,感冒发热的人也渐渐多了。偶然有个头痛脑热,很多人都不会放在心上,懒得去看医生的就自己图方便到药店买几片感冒药,自以为没什么大碍,休息两天就过去了。可是偏偏有些感冒、咳嗽就不是那么简简单单。
52岁的钟阿姨,一个月前出现发热、咳嗽、头痛头晕,这些症状她以前也有过,以为又是受凉感冒了,像以往一样口服感冒药后发热咳嗽确实是好多了。http://www.999brain.com/
可没过几天,钟阿姨再次出现间断性头痛,家人不敢大意,赶紧去当地医院,颅脑CT检查发现左额叶占位。这不就是脑瘤嘛,家人在短暂的慌张后立即冷静下来,钟阿姨辛苦了半辈子,刚刚开始享上清闲,一定要让她接受最好的治疗。
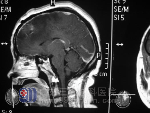
在广东三九脑科医院,神经外五科的鲁明主任为其做了详细的检查,头部MRI见双侧额叶、右侧丘脑占位!胸部CT见右侧肺部占位!腹部B超见肝右叶实质性占位!结合病史及影像学资料,钟阿姨全身多发性病变,考虑肺癌脑转移可能,左侧额叶病灶较大,水肿明显,压迫明显,病情紧急,在完善相关检查后立即安排了手术, 12月24日在全麻下行左侧额叶占位切除术,手术中见肿瘤质软,供血丰富,有出血及坏死,并见黄色囊液流出,肿瘤内侧紧贴大脑镰,在显微镜下对肿瘤进行全切,手术过程很顺利。第三天,钟阿姨已经可以下床活动了,术后病理结果为:转移性腺癌,免疫组化验检测结果提示癌组织源自肺。现在的她仍在行进一步的放射治疗中。
【广东三九脑科医院 神经外五科 鲁明主任提醒】http://www.999brain.com/
脑肿瘤或者脑转移癌的表现多种多样,出现征象时应速去医院进行详细检查,目前电子计算机断层扫描(CT)和磁共振成像(MRI)对脑转移瘤均能早期做出确切诊断,尤其推荐进行MRI检查。
(1)头痛:性质多较剧烈,常在清晨发作,有时在睡眠中被痛醒,但起床轻度活动后头痛就会逐渐缓解或消失。
(2)呕吐:由于颅内压力的增高,致使延髓呼吸中枢受到刺激,从而出现呕吐,呕吐多在头痛之后出现,呈喷射状。
(3)视力障碍:颅内压增高时会使眼球静脉血回流不畅,导致淤血水肿,损伤眼底视网膜上的视觉细胞,致视力下降。
(4)精神异常:位于大脑前部额叶的脑瘤可破坏额叶的精神活动,引起兴奋、躁动、忧郁、压抑、遗忘、虚构等精神异常表现。
(5)单侧肢体感觉异常或无力:位于脑半球中部的顶叶,专管感觉,该部位肿瘤常会导致单侧肢体痛、温、震动、形体辨别觉减退或消失。
(6)幻嗅:颞叶部肿瘤可在其刺激下出现幻嗅,即可闻到一种并不存在的气味,如烧焦饭或焦橡胶等气味。
(7)偏瘫或踉跄步态:小脑部病变更具特异性,即患者常在头痛、呕吐、视物障碍之后,出现偏瘫或踉跄的醉酒步态。
(8)耳鸣、耳聋:此种多在打电话时发觉,即一耳能听到,另一耳则听不到。该表现多是听神经瘤的先兆。

手术前

手术后
【咨询专家】 : 13602473181 13922111505
【了解更多】 : 神经外五科
Copyright 2006-2026 广东三九脑科医院版权所有 粤ICP备11100995号 服务性质:非营利性网站 粤卫网审(2013)10号
粤公网安备 44011102002143号