http://www.999brain.com 柴英 蓝尉银 时间:2017-05-11 来源:癫痫中心 编辑:lsw 阅读:7602
娄某,男,18岁,因反复肢体抽搐5年入院。
患者于13岁(2009年,头外伤后半年)开始出现首次发作,发病前半年从2米高树上摔下,枕部着地,无昏迷,发作表现:突发性意识不清、双眼向左侧注视、头稍左偏转、流涎、四肢强直-阵挛,1分钟好转。发作前无任何先兆,清醒后感觉头痛、全身乏力。以后反复出现发作,有时1天发作数次(感冒、劳累时易出现),一般1-2次/月。起病后曾服用开普兰、德巴金、卡马西平等药物治疗,现服用奥卡西平(600mg bid)+拉莫三嗪(100mg bid)治疗。起病后记忆力较前明显下降。第二胎足月顺产,否认产伤、窒息史,生后10分钟才哭泣。否认高热惊厥史。否认传染病史,否认手术史,否认药物过敏史。家族中无遗传病史,无肿瘤病史。家族中无类似疾病患者。
入院查体:皮肤细腻,声音尖细,乳房发育,阴茎短小。神清,十二对颅神经检查均未见异常,全身深浅感觉及复合感觉未见异常,肌营养、肌张力、肌力未见异常,共济运动未见明显异常,未见明显不自主运动,生理反射存在,病理反射未引出。辅助检查:我院头颅MR:1.右侧颞枕顶叶局部皮层稍增厚,请结合临床;2.右侧海马硬化待排;3.脑白质少许脱髓鞘灶;4.双侧上颌窦、筛窦及额窦炎症。VEEG:间期:癫痫样放电,右半球,右前头部。
入院诊断:癫痫。入院后完善相关检查,VEEG:发作期:眨眼→左侧面肌、上肢强直→左侧偏转→BAST(左)→GTCS。MRI:右侧眶额回灰白质分界不清,弥漫性脑萎缩。PET:右侧额极及内侧面低代谢,右侧眶额回稍低代谢,右侧岛叶代谢减低。韦氏智力:全量表83,言语78,操作91;记忆63。染色体结果:47,XXY。
出院诊断:Klinefelter’s 综合征。


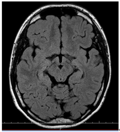
▲1 T2FLAIR轴位右侧框额回灰白质分界不清

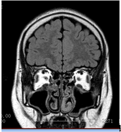
▲ 2T2FLAIR冠状位

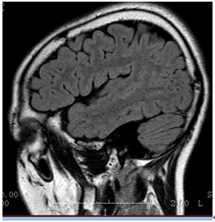
▲ 3T2FLAIR矢状位
讨论:Klinefelter’s 综合征(克氏综合征)临床特征:患儿表型为男性,至青春期才出现发育障碍。患者从小体型细长,下肢比上肢更长,男性第二性征发育差,有女性化表现,如皮肤细嫩,皮下脂肪丰富,须毛少,25%的患者有乳房发育。睾丸小而硬,长径小于2cm,曲精管呈玻璃样变性,不能产生精子,故成年后无生育能力。智力低下不适典型特征,但常有学习困难,神经运动发育延迟。常可以观察到某些行为和心理异常,如性格孤僻,不活泼,害羞或破坏性行为。语言能力较差。
细胞遗传学特点:大多数为47,XXY嵌合型,少数为46,XY/47,XXY,临床症状比较轻。极少数病人可能有更多条X染色体,核型:48,XXXY,49,XXXXY,及48,XXYY等。患者X染色体越多,性征和认知功能障碍越严重,可伴躯体畸形。随母亲年龄增大发病率增加,源于母方的染色体不分离多于父方。
治疗与预后:于青春期前开始治疗,可使睾丸发育,成年后有生育能力。治疗强调全面治疗,一方面强化教育与训练,促进职智能发育及正常性格形成。另一方面于青春期前(11-12岁)开始睾丸酮代替治疗。

Copyright 2006-2026 广东三九脑科医院版权所有 粤ICP备11100995号 服务性质:非营利性网站 粤卫网审(2013)10号
粤公网安备 44011102002143号