http://www.999brain.com 时间:2017-07-20 来源:小儿神经外科 编辑:xzd 阅读:44282
女童晓霖,5岁,9个月前无明显诱因出现间断眨眼,家属考虑小孩子正处于学习模仿期,养成了“不好的习惯”,遂时不时教育她要把坏习惯改正过来,压根没想到会是脑瘤。可在2个月前,晓霖眨眼的情况越发严重,并出现头痛症状,家属开始担心,于是带她到当地医院检查。不查不知道,一查吓一跳,原来晓霖的左枕部有占位性病变。为进一步治疗,他们来到广东三九脑科医院。
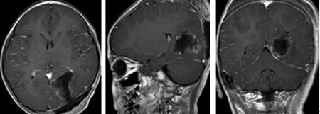
为晓霖完善术前检查,小儿神经外科及其团队在全麻下行为晓霖进行“左侧顶枕开颅左枕占位性病变切除术”,术中晓霖的大脑大静脉被保护完好,切除的肿瘤大小约4×4×4cm,术后患儿好转。
术后病理:左枕叶间变性室管膜瘤 WHO III级。

▲术前

▲术后
小儿神经外科杨宝应主任称,晓霖的眨眼动作是颅内占位引起的神经功能障碍所致。室管膜瘤和恶性室管膜瘤总发病率占颅内肿瘤2%-9%,多见于儿童和青年;该肿瘤3/4位于幕下,1/4位于幕上。
肿瘤多位于脑室内,少数肿瘤主体位于脑组织内。在任何部位的室管膜患儿中最常见体征是视乳头水肿,其他体征根据肿瘤的部位变化,眼震、脑膜征、辩距不良在后颅窝最常见,而偏瘫、腱反射亢进和视野异常是幕上最常见征象。
手术切除肿瘤为主要治疗手段。术中使用脑干诱发电位监测对避免脑干损伤有一定帮助。室管膜瘤是放疗中度敏感肿瘤之一,原则上不论肿瘤是否全切均应进行放疗。影响室管膜瘤预后的因素包括肿瘤的部位、组织学类型、复发速度和年龄。多数儿童室管膜瘤的报道认为5年生存率为27%-58%。

Copyright 2006-2026 广东三九脑科医院版权所有 粤ICP备11100995号 服务性质:非营利性网站 粤卫网审(2013)10号
粤公网安备 44011102002143号