http://www.999brain.com 时间:2011-03-15 来源:影像诊断中心 编辑:谢莉 阅读:31572
脑海绵状血管瘤是指由众多薄壁血管组成的海绵状异常血管团,并非真性肿瘤,属于先天性脑血管畸形一种,约占血管畸形的15%。可发生脑内任何部位,约90%位于幕上,约10%位于幕下。幕上以颞叶和额叶最常见,其次为深部脑白质、皮髓质交界区和基底节区;幕下以桥脑和小脑半球为常见;而生长在脑室内极为罕见。常见症状为癫痫、头痛和局灶性神经功能障碍、少数有出血,出现相应症状。http://www.999brain.com/
小伟(化名),11岁时出现头痛头晕,并不断加重;17岁时由于头痛加重,在当地医院行头颅CT检查:左侧脑室内占位,由于种种原因,未再进行治疗;来广东三九脑科医院的前5天,小伟出现头痛,恶心呕吐多次,在当地医院再次行头颅CT检查:脑室内占位性病变,较前增大。http://www.999brain.com/
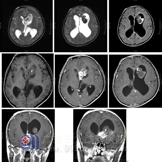
颅脑MRI检查所见:
左侧脑室内示一不规则占位性病变,向下延伸累及视交叉,范围约为4.3×4.2×2.5cm。病变前下部分T1WI呈稍低信号,T2WI及FLAIR序列呈高信号,其内信号不均,可见多发斑片状短T1长或短T2异常信号影,FLAIR序列呈高信号,另尚可见一小圆形各序列内低外环形高信号影;病变后上部分T1WI呈内稍低外环形高信号,T2WI及FLAIR序列呈内不均匀极低外环形高信号;增强后,病变前下部分呈不均匀明显强化,后上部分未见明显强化。幕上脑室扩张,以左侧侧脑室尤著,透明隔轻度右移。MR诊断考虑为左侧脑室内肿瘤合并出血。

神经外科手术所见:
左额顶中线旁脑组织染黄色,估计早前有颅内出血,在额上、中回脑裂间分开并造瘘,切开前后约2cm,切开深约3cm,即打开脑室,缓慢放出淡黄色脑脊液,脑压板分开脑室壁,即见灰白肿瘤组织及靠后方黑褐色包块,其肿瘤组织质地软,与额角内侧面粘连紧密,血运丰富;后方包块,边缘游离光整,无粘连,其内为已纤维化血块。
病理诊断:海绵状血管瘤(左侧脑室内)。http://www.999brain.com/
【我要咨询】:020-87736999转2304
【了解更多】:影像诊断中心
Copyright 2006-2026 广东三九脑科医院版权所有 粤ICP备11100995号 服务性质:非营利性网站 粤卫网审(2013)10号
粤公网安备 44011102002143号