http://www.999brain.com 外五科供稿 时间:2011-04-04 阅读:21554
摘要:“每次的体育课,我都只能坐在旁边看着同学们踢球、打篮球、跑步……,除了静静地坐在教室里学习,其他的一切似乎都与我无关,我多么希望能像其他同学一样自由地奔跑…..”
“每次的体育课,我都只能坐在旁边看着同学们踢球、打篮球、跑步……,除了静静地坐在教室里学习,其他的一切似乎都与我无关,我多么希望能像其他同学一样自由地奔跑…..”一位来自河源龙川县的13岁的小男孩小马如是说。他天生就是四肢并指,加上从小患有先天性心脏病,慢性心功能不全(心功能II-III级),爬几层楼梯就会呼吸急促,十三年来家里对小马总是小心地呵护、照顾。

并指

并趾
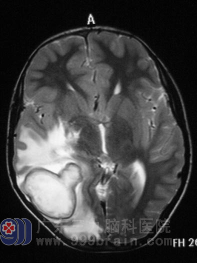
俗话说:屋漏偏逢连夜雨,船迟又遇打头风。几个月前小马无明显诱因开始头痛,呈胀痛感,当时无发热,到当地医院以感冒对症处理后症状稍缓解,但之后反复头痛发作,间断呕吐。1月前小马突发高热,体温达39度,入当地医院行头颅MR示“双侧大脑半球多发占位,脑水肿明显,考虑多发脑脓肿可能”,医生建议手术治疗,但考虑到小马情况特殊,加上当地医院医疗设备、技术都不能保证,所以不敢冒然手术。“十多年来我们都没有放弃,难道现在就这样放弃了?”小马的父亲越想越不甘心,遂开始四处打听,经一朋友介绍得知了广东三九脑科医院,父子一行人挎上包裹,踏上求医的路程。

正常

脑脓肿
广东三九脑科医院神经外五科鲁明主任检查小马后,发现他颅内压比正常人稍高,心脏彩超示“先天性心脏病,室间隔缺损”, 二尖瓣听诊区可闻收缩期杂音,鲁主任同全院资深专家会诊后一致认为小马可以耐受手术。2011年2月22日小马被送入手术室行“右侧顶枕叶脑脓肿穿刺引流术”,术中严密监测心电变化,尽量减少手术时间,术中见黄绿色脓液涌出,反复冲洗脓腔,术中出血少,术程顺利。术后并没有放松警惕,继续予罗氏芬冲洗脓腔,继续抗感染、营养心肌、止血对症支持治疗。当我们见到小马时,他已康复了,小马的父亲拉着医生的手激动地直说谢谢。
【广东三九脑科医院专家点评】:
神经外五科鲁明主任指出:脑脓肿(Intracerebral abscess)是指化脓性细菌感染引起的化脓性脑炎、慢性肉芽肿及脑脓肿包膜形成,少部分也可是真菌及原虫侵入脑组织而致脑脓肿。脑脓肿在任何年龄均可发病,以青壮年最常见。脑脓肿的发生率和死亡率仍较高,脑脓肿的处理应防重于治,并重视早期诊断和治疗。例如重视对中耳炎,肺部感染及其它原发病灶的根治,以期防患于未然。脑脓肿的处理原则是:在脓肿尚未完全局限以前,应进行积极的抗炎症和控制脑水肿治疗。脓肿形成后,手术是唯一有效的治疗方法。
【我要咨询】:13602473181
【了解更多】:神经外五科
Copyright 2006-2026 广东三九脑科医院版权所有 粤ICP备11100995号 服务性质:非营利性网站 粤卫网审(2013)10号
粤公网安备 44011102002143号