http://www.999brain.com 时间:2011-07-15 来源:肿瘤综合治疗中心 阅读:19571
4岁,罹患脑肿瘤。
莹莹是广东兴宁的农村里可爱的小女孩,2006年10月就在莹莹刚满4岁的时候,小莹莹无征兆出现恶心呕吐,伴有头晕头痛,父母带着莹莹到当地最大的医院就诊,头颅CT显示为小脑蚓部占位,并伴梗阻性脑积水。焦急的父母立即带着莹莹到了广州的大医院治疗,很快小莹莹接受了颅脑手术,因为病理是毛细胞性星型细胞瘤WHOI级,归属于良性肿瘤,且手术后莹莹的恶心呕吐头痛头晕症状都消失了,小莹莹没有接受肿瘤的进一步放疗。之后也没有遵医嘱定期复查。不曾想到的是,手术后残留的肿瘤细胞还在小莹莹的颅内生长、繁殖、肆虐着。http://www.999brain.com/
6岁,肿瘤复发。
到了2007年9月,小莹莹已经6岁了,正是幼儿园毕业准备上小学的时候,莹莹再次出现恶心呕吐,警觉的父母直接带这莹莹来到了广东三九脑科医院肿瘤综合治疗中心,查头部MR显示四脑室见明显强化灶,蔡林波主任检查此时的小莹莹除了恶心呕吐症状以外还出现了一系列的阳性体征,包括反应迟钝,双眼水平眼震,双眼外展。出现右脚跛行,这一次的肿瘤似乎比第一次来得更加凶猛。蔡林波主任结合莹莹的病史考虑小莹莹肿瘤复发可能性大,建议再次手术,术后再行放疗。父母考虑到小莹莹身体瘦小,且之前已经经历过一次手术,担心手术风险太大,遂决定不再考虑手术治疗,要求直接放疗。通过完善的检查,指定个性的治疗方案。2008年10月小莹莹接受了头部的适行调强放疗,距离第一次发病治疗正好两年。放疗结束后小莹莹恶心呕吐症状已经完全消失,复查头颅MR肿瘤较前缩小。http://www.999brain.com/
10岁,肿瘤被成功被控制。
吸取了第一次的教训,放疗后父母都带着小莹莹坚持复查,每次复查都是好消息,小莹莹的脑瘤呈持续的缩小趋势,而小莹莹也没再出现过恶心呕吐,头痛头晕的症状。前日爸爸又带着小莹莹复查,结果显示她右侧肢体肌力完全恢复,双眼外展情况也较前明显好转,基本接近正常,复查头颅MR,影像检查已经看不到肿瘤痕迹。现在小莹莹正常上学,已经升三年级了。
【三九脑科专家解析】
广东三九脑科医院肿瘤综合治疗中心 蔡林波主任解析:毛细胞星形细胞瘤属良性肿瘤,其首选治疗为手术,但业内的看法不一,目前国内部分专家遵循外国文献报道,认为毛细胞星形细胞瘤术后残留无需放疗。但尽管毛细胞型星形细胞瘤为良性肿瘤,但仍有复发风险,术后加辅助放疗能及时杀灭残存肿瘤,保证了预后,即使复发后行放疗效果仍然很好。该患者目前情况良好,根据她这几年肿瘤程持续缩小的情况判断,放射线已经将肿瘤细胞杀灭,死亡的肿瘤细胞处于被分解的状态,影像学上肿瘤还将继续缩小直至消失。http://www.999brain.com/

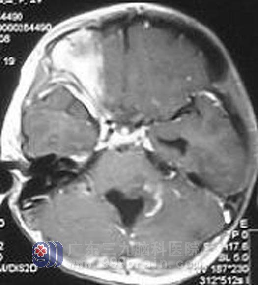
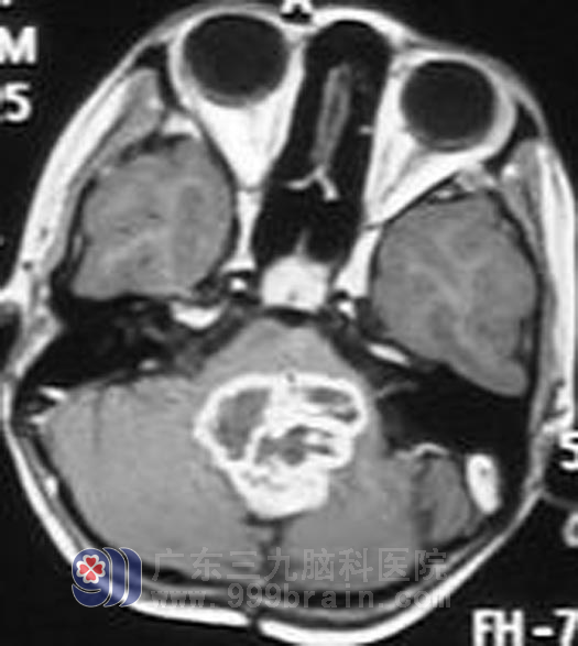
手术前

手术后

复发时

放疗后
【我要咨询】:15361765381 13922111505
【了解更多】:肿瘤综合治疗中心
Copyright 2006-2026 广东三九脑科医院版权所有 粤ICP备11100995号 服务性质:非营利性网站 粤卫网审(2013)10号
粤公网安备 44011102002143号