http://www.999brain.com 时间:2011-08-24 来源:肿瘤综合治疗中心 阅读:24322
【典型病例】
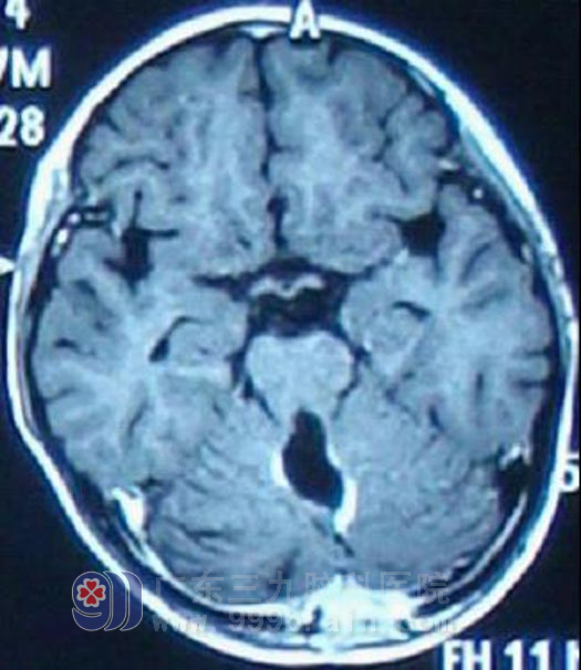
7岁的扬扬是一个快乐的小女孩,今年3月开始无诱因出现恶心呕吐情况,开始约每天一次,呈喷射状,开始父母未引起重视,以为只是普通的感冒,未进行积极地治疗,渐渐呕吐频繁加重,4月到当地儿童医院就诊,诊断为地中海贫血,予对症治疗后呕吐症状无好转。即至广州某肿瘤医院就诊,头颅MR显示为小脑蚓部囊性病变,专家考虑为毛细胞型星形细胞瘤,不排除髓母细胞瘤。经过完善相关检查后5月24日行占位切除术,术后病理显示为髓母细胞瘤。手术后扬扬恶性呕吐症状消失,出现行走步态欠稳。在家康复一段时间后,6月24日我院就诊,扬扬一般情况良好,经过详细计划后即开始行全中枢放疗,放疗后复查头颅MR示术区边缘强化明显减退,再行术区适形加量放疗。http://www.999brain.com/

治疗前

放疗后
【三九脑科专家解析】
广东三九脑科医院肿瘤综合治疗中心 蔡林波主任解析: 髓母细胞瘤多发生于青少年和儿童,5岁左右的儿童常见。其恶性程度较高,常侵犯小脑半球、第四脑室并可以沿着蛛网膜下腔播散,单纯手术不易完全切除,同时髓母细胞瘤对放化疗多较敏感,目前标准的治疗是方案是手术后联合放疗和化疗。http://www.999brain.com/
年龄较小的患者,全脑全脊髓的放疗可引起较严重的放疗副反应,导致患儿生长迟缓,神经发育受到较大影响。故对小于3岁的小儿是否放疗需慎重考虑,先行化疗,稳定病情,待小儿3岁后再放疗是较明智的选择。而对于3岁以上的儿童,一般身体情况都可以接受合适剂量的放疗。而要提醒家长的是对于小孩出现的的一些症状如头痛、呕吐、视力改变等等要更敏感,因为小孩还不能更准确的表达他们的感受,及时发现病症,及早检查和诊治,以免贻误病情。http://www.999brain.com/
【我要咨询】:15361765381 13922111505
【了解更多】:肿瘤综合治疗中心
上一篇:MR查出的意外
Copyright 2006-2026 广东三九脑科医院版权所有 粤ICP备11100995号 服务性质:非营利性网站 粤卫网审(2013)10号
粤公网安备 44011102002143号