http://www.999brain.com 时间:2011-09-14 来源:肿瘤综合治疗中心 阅读:22482
对于三九脑科医院而言,生殖细胞瘤并不算罕见,临床中,医生常常碰到这样的病例。他们大多为青年男性,因为视力急剧下降而来到医院求医。http://www.999brain.com/
20岁小伙视力急剧下降被诊断为脑瘤。
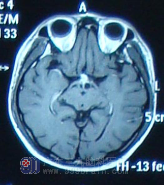
今年20岁的小梁是一个腼腆的小伙,皮肤黝黑、身体健硕,是典型的近海边男孩。今年4月开始,小梁感觉视力急剧,开始以为是打游戏的恶果,未予重视,但渐渐的,他发现平时宽广的视野也变窄了,看两边物体时需要转动脖子,调整视线角度才能看到。他这才意识到问题的严重性,到医院检查竟被告知患了脑瘤,大小约22.1×27.5mm。
专家经验老道,诊断性放疗让脑瘤小伙免受手术之苦。 http://www.999brain.com/
经人介绍,6月20日,小梁在家人陪同下来到广东三九脑科医院肿瘤综合治疗中心就诊。该中心蔡林波主任在了解小梁病史时发现,他除了视力下降(左眼视力0.1,右眼视力0.2)、视野发生改变外(双眼颞侧及上下侧视野缺损),近2个月以来还出现了多饮多尿现象,结合其影像学资料,蔡林波主任高度怀疑小梁患的是生殖细胞瘤,但确诊仍需要更多的临床资料。于是,抽取小梁的脑脊液进行化验检查,结果示HCG(人绒毛膜促性腺激素)值高出正常值10多倍,AFP(甲胎蛋白)也高于正常,这进一步证明小梁所患脑瘤为生殖细胞瘤的可能性极大。鉴于生殖细胞瘤首选放射治疗,蔡林波主任首先为小梁制定了定位适形诊断性放疗方案,放疗10Gy后,复查头颅MR显示肿物较前明显缩小,确诊为生殖细胞瘤。遂开始予全脑全脊髓放疗,完成54Gy后复查头颅MR显示肿瘤基本消失。患者症状明显改善,多饮多尿症状减轻,患者左眼视力恢复至0.4,右眼视力0.5。
【三九脑科专家解析】http://www.999brain.com/
广东三九脑科医院肿瘤综合治疗中心蔡林波主任介绍:生殖细胞瘤虽为恶性肿瘤,但其治愈率是很高的,因生殖细胞瘤对放射线很敏感,一般首选放疗。该患者因为临床症状进展快速且严重,发现相对较及时,没进展到很严重的程度。经放疗效果明显,后续还需要化疗巩固疗效,防止复发。http://www.999brain.com/

放疗前

放疗10Gy后

放疗结束后
【我要咨询】:15361765381 13922111505
【了解更多】:肿瘤综合治疗中心
Copyright 2006-2026 广东三九脑科医院版权所有 粤ICP备11100995号 服务性质:非营利性网站 粤卫网审(2013)10号
粤公网安备 44011102002143号