作者:杨海璇 李花 欧阳梅 时间:2018-11-26 编辑:lsw 点击次数:25535
温某,4岁8月,因“反复发作性肢体抽搐4年余。”于2018年7月31 日入院,共住院10天。
患儿于2014年(出生后6-7月)反复发热1周,体温最高大于39℃之后出现发作,表现为:意识不清,四肢强直抽搐,脸色嘴唇变紫绀,持续约10分钟缓解。2017年(3岁半)出现第2次发作,表现为睡眠中左侧肢体抽搐,持续10余秒后缓解。2018年7月反复出现低热,2018年7月25日再次出现发作,表现为双眼向左侧凝视,左侧颜面部、眼部抽动,持续2-3分钟,丛集出现,间隔10余分钟再出现,有时伴左侧肢体抽搐,到当地医院予镇静处理后方停止,整个过程持续5小时余。发作前反复呕吐胃内容物。到当地医院就诊,行腰穿检查,常规生化未见明显异常,诊断考虑脑膜脑炎,予丙种球蛋白(总量15g)治疗,未进行抗癫痫治疗,今为求进一步诊疗前来广东三九脑科医院癫痫科就诊。
入院查体:头围46.7cm,体重14kg,身高100cm,体形瘦小,神清,言语流利,四肢活动正常,眼动充分,神经系统查体不能配合。辅助检查:外院2年前头颅MRI及头颅CT未见异常。个人史:第1胎足月臀位剖腹产,出生时有羊水吸入病史,新生儿科住院4天后出院,自幼运动发育较迟缓,1岁会坐,1岁3月能爬,1岁8月能走,走路欠稳,双足外翻,穿矫正鞋,走路内八,言语理解能力好,能表达长句,长期外院康复治疗,上过1月余幼儿园。否认相似家族史,父母亲体型健康。
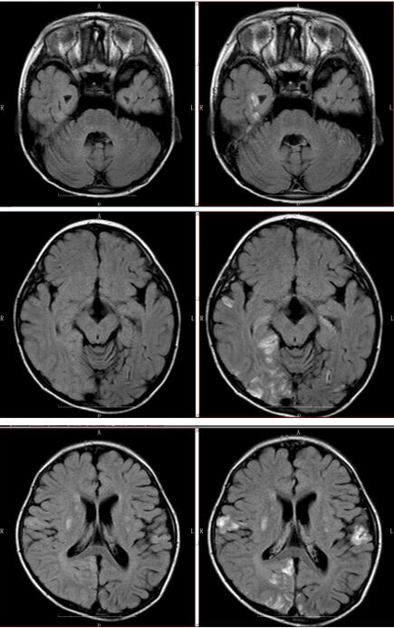
入院后第二日行头颅MR可见双侧基底节区及双侧额颞顶枕叶皮层多发异常信号灶(如下图所示),考虑线粒体脑肌病可能。乳酸测定:乳酸(LAC),5.11mmol/L,高;乳酸(LAC),4.20mmol/(1.33-1.78);患者线粒体基因检测送检指针得6分(计分详见表1),为临床拟诊断为线粒体脑肌病。外院查线粒体基因组全长提示:chrM:m.3243A>G,合子状态为79.9%,来源于母亲(10.2%)。诊断为MELAS型线粒体脑肌病。
【专家点评】
线粒体脑肌病(ME)是一组少见的由基因突变引起的、以线粒体氧化磷酸化功能异常为特征的,同时脑和肌肉受累为主的多系统疾病。无论是基因型还是临床表型均具有高度异质性。常见类型为:MELAS综合征、MERRF综合征、KSS综合征、Legih病、CPEO综合征。MELAS即线粒体脑肌病伴高乳酸血症和卒中样发作,以卒中发作为特点,伴有身材矮小、智能减退、皮层盲或聋、抽搐、阵发性头痛。影像学检查可见脑萎缩、基底节钙化及类似多发性脑梗塞的表现,但不在同动脉主干的分布范围。血乳酸升高。最常见的突变点为mtDNA3243,约占80%。而A3243G突变存在很大的临床异质性,使得携带同一个突变的个体呈现不同类型、不同程度的临床表型,有些甚至终身不发病。除线粒体基因外,有1500个核基因参与维持线 粒体的正常生理功能,这些核基因的突变亦可导致线粒体脑肌病。


线粒体病临床评估分:
8-12分为临床确诊为线粒体;
5-7分为临床拟诊为线粒体;
2-4分为疑似线粒体;
1分为非线粒体。

广东三九脑科医院 地址:广州市沙太南路578号 邮政编码:510510 电话:86(020) 62323939
咨询手机:13922111505 邮箱:999brain120@163.com 传真:86(020) 6629 9224
Copyright 2006-2025 www.39brain.cn 广东三九脑科医院版权所有 粤ICP备06087008号