http://www.999brain.com 吴静 汪文胜 时间:2017-09-20 来源:影像诊断中心 编辑:lsw 阅读:9142
临床病史:男,42岁,因“左眼进行性突出伴视力下降15年,前额及左眼疼痛10天余”入院。查体见左侧眼球突出,双侧瞳孔等大等圆,对光反射灵敏,眼球运动自如。血清总胆固醇:4.68mmol/L,高密度脂蛋白:1.02 mmol/L,低密度脂蛋白2.99 mmol/L,均未见异常。
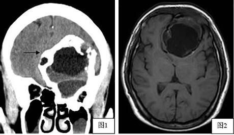
头颅CT(图1)示左前颅窝底一较大占位病灶,大小约7.05cm×5.20cm×7.27cm,边缘见高密度硬化边(图1箭头),其内密度不均。MRI平扫(图2,3)示左前颅窝底病灶呈囊实混合性,中央囊性区较大,呈不均匀长T1长T2信号,周围实性区大部呈长T1短T2信号,增强(图4)病灶周围呈不规则环形强化,病灶内见分隔,病灶向下累及左侧筛窦,向上向后推挤左侧额叶,病灶边界清晰,周围受压脑实质未见明确水肿信号。影像诊断考虑偏良性病变,骨源性肿瘤可能性大。
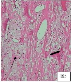
临床行左前颅窝底病变切除术,术中见病灶位于颅底,长入硬脑膜下,与脑组织粘连,病灶内含黄色组织,质硬,血供丰富。术后病理(图5)回报:黄色瘤。随访两年余未见复。


图1:冠状位CT平扫:肿瘤内部不同分隔内低密度区密度不一致,边缘见高密度硬化边(细箭头)。
图2:T1WI,病灶呈低信号为主;图3:T2WI,病灶呈高信号为主,边缘示环形极低信号影;图4:T1WI矢状位增强:边缘呈不均匀强化,中心未见强化.
图5:HE染色病理图像(10×20),内见泡沫细胞聚集区(细箭头)及胶原纤维聚集区(粗箭头)
讨论:
骨原发性黄色瘤又称骨黄色瘤,发病率无明显性别差异,临床上多无外伤病史且常不伴高脂血症等脂质代谢障碍,在临床上极罕见[1]。组织学上以大量泡沫样细胞、多核巨细胞聚集为主,瘤细胞核小,无异型性,混有不等量的纤维组织,可见胆固醇裂隙及含铁血黄素沉积,免疫组织化学可见组织细胞CD68呈阳性表达[1,2]。其发生机制有两种假说,一种认为其由颅脑局部创伤或颅内出血等刺激性因素造成,另一种认为由血液中富含脂质成分造成[3]。Bertoni[4]认为骨的黄色瘤虽然表现为组织细胞增生性改变,但并非真性肿瘤,为一种单纯的、不伴任何其它骨病变的疾病。
扁骨的黄色瘤影像学表现为膨胀性骨质破坏并周围常见硬化边[5],其内可见分隔及陈旧性出血,故MRI图像上病灶信号混杂并且有多个信号不一的液-液平面。本例病灶可见周围硬化边及膨胀性骨质破坏,MRI图像上其信号混杂。也有学者认为[6]当组织细胞比例较高时,MRI平扫病变呈长T1长T2信号,当纤维细胞比例较高时,病变则呈长T1短T2信号。
鉴别诊断:颅骨原发性黄色瘤影像表现无特异性,与其它良性骨肿瘤或肿瘤样变如动脉瘤样骨囊肿等鉴别困难。最终诊断仍依赖病理。动脉瘤样骨囊肿多发生于20岁以下,长骨干骺端多见,颅骨少见,呈蜂窝状改变,腔内常含不凝血液,光镜下可见大量充满血液的腔隙,不含黄色瘤特征性的泡沫细胞,在病理上可据此鉴别。
总之,骨的孤立性原发性黄色瘤临床呈良性经过,手术切除效果好,一般无复发,不需术后放化疗。
参考文献:
[1].付静,廖松林,沈丹华等.骨原发性黄色瘤5例临床病理分析.诊断病理学杂志,2006,13(4):260-263.
[2]. 张秀兰,刘惠萍,曲飞.多发性结节性黄色瘤伴胆固醇肉芽肿形成一例.中华病理学杂志,2003(32):293.
[3]. 董必锋,陈玲,李亮等.颅内单发黄色瘤伴粘液变性1例.中华神经外科疾病研究杂志,2013,12(6),562-563.
[4]. Bertoni F, Unni KK, McLeod RA, Sim FH. Xanthoma of bone.Am J Clin Pathol .1988,90(4),377-384.
[5].孙波涛,黄进,张纪等,右股骨上端骨黄色纤维瘤1例.实用放射学杂志,2008,24(11):1546.
[6]. 王占秋,杨迎迎,刘兰祥等.四肢多发纤维黄色瘤 1例,实用放射学杂志,2015,31(9),1578.

下一篇:“以爱为舟,以心为灯”
Copyright 2006-2026 广东三九脑科医院版权所有 粤ICP备11100995号 服务性质:非营利性网站 粤卫网审(2013)10号
粤公网安备 44011102002143号