http://www.999brain.com 时间:2018-11-21 编辑:lsw 阅读:19709
【摘要】 目的 NADH脱氢酶(ND)功能缺失是引起线粒体呼吸链受损最常见的原因。已有多篇报道表明ND功能缺失与多种线粒体脑肌病合并肌张力障碍相关。方法 本文报道1例线粒体DNA ND3(mitochondrial DNA,mt-DNA ND3)基因新发突变导致的线粒体脑肌病伴乳酸血症和卒中样发作(MELAS)合并肌张力障碍的临床资料,分析该例患者的临床症状、血与脑脊液乳酸、头颅影像学、骨骼肌活检、脑电图(间歇期及发作期)以及线粒体全基因二代测序(血液及骨骼肌组织)的检查。结果 患者临床表现有肌张力障碍、癫痫发作、智力低下,血液及脑脊液乳酸增高,头颅 MRI T2flair序列可见病灶动态变化(部分新增或消失),骨骼肌活检及电镜下检查未见典型线粒体脑肌病改变,脑电图可见双侧大脑半球弥漫性癫痫样放电,线粒体基因二代测序发现mt-DNA ND3 第10197 位点G到C的点突变及G碱基缺失的移码突变。结论 mt-DNA ND3 基因突变可引起MELAS及肌张力障碍。
【关键词】 线粒体脑肌病 ;肌张力障碍 ;NADH脱氢酶 ;基因突变 ;二代测序;
A case of novel mitochondrial ND3 mutation may induce MELAS and dystonia
【Abstract】 Objective Defects in NADH dehydrogenase (ND) is a common etiology to cause mitochondrial respiratory chain deficiency. According to some reports, it will lead to all kinds of mitochondrial encephalomyopathy and dystonia. Method A case of mitochondrial encephalomyopathy with latic acidemia and stroke-like episodes (MELAS) and dystonia, which is related to novel mitochondrial-DNA (mt-DNA) ND3 gene mutation, was analyzed, including clinical features, brain MRI, lactic acid of blood and CSF, muscle biopsy, EEG (inter-ictal and ictal) and gene tests (including blood and muscle). Results The patient is suffered from dystonia, epilepsy, mental deterioration, high blood and CSF latic-acid, brain MRI shows difference before and after one-year (some morbid zones disappear and some become morbid) . Muscle biopsy under microscope and electron microscopy suggest no typical mitochondrial myopathy changes, EEG shows diffuse spike, through the next generation sequencing, the novel 10197G>C point mutation and delG frameshift mutation of mt-DNA ND3 gene are found. Conclusion The novel mt-DNA ND3 gene may induce MELAS and dystonia.
【Key words】 Mitochondrial encephalomyopathy; dystonia; NADH dehydrogenase; Gene mutation; Next generation sequencing;
线粒体为环状的DNA分子,目前已确定有13个为蛋白质编码的区域,包括细胞色素B、细胞色素氧化酶的3个亚基、ATP酶的2个亚基、NADH脱氢酶的7个亚基;NADH脱氢酶(NADH dehydrogenation, ND)功能缺失是引起线粒体呼吸链受损最常见的原因,其基因突变会导致线粒体蛋白质合成受损,影响线粒体的电子传递链复合体亚单位和线粒体能源生产。根据线粒体DNA(mitochondrial DNA,mt-DNA)分子中碱基对位置,ND可分为ND1、ND2、ND3、ND4L、ND4、ND5、ND6七个亚基。近年来,由ND1[1]、ND3[2]、ND4[3]、ND5[4]、ND6[5]的基因突变导致的线粒体脑肌病屡见报道。其中,ND3在mt-DNA第 10059至10404碱基对中,能产生由115种氨基酸构成的13kDa蛋白质,其结构呈“L-型”,长臂由疏水性跨膜结构组成,短臂为亲水性跨膜结构。其基因突变能引起多种线粒体脑肌病,包括线粒体脑肌病伴高乳酸血症和卒中样发作综合征(mitochondrial encephalomyopathy with latic acidemia and stroke-like episodes, MELAS)[6]、Leber遗传性视觉缺失[7]、Leigh综合征[8-9]、线粒体脑肌病重叠综合征[2,10],合并[7,9]或不合并[6,8,10]肌张力障碍。
MELAS是线粒体脑肌病最常见的类型。临床表现为突发的卒中样表现,如精神障碍、智力低下、肢体瘫痪、皮质盲、癫痫和呕吐等,可有偏头痛病史和不耐疲劳现象,发病时血及脑脊液乳酸水平升高,头颅影像学可见皮质及皮质下多发异常信号影,数月后可完全消失,但再复发时,这种改变又可出现在另一部位的皮质。目前MELAS相关基因的突变位点多达40个以上,其中位于tRNA Leu(UUR)基因的A3243G位点约占80%[11],其他位点包括tRNA T3271C[12]、tRNA Val (G1642A)[13]、tRNA Lys (T8316C) [14]等。线粒体病的遗传方式主要是母系遗传,与孟德尔遗传方式不同,子代是否发病,取决于子代个体正常mtDNA和突变mtDNA的比例,仅当突变mtDNA达到某一阈值时,患者才出现症状。如当MELAS患者肌纤维内的A3243G突变mtDNA超过90%时,临床上卒中样发作、痴呆、癫痫和共济失调等,若小于50%,则只出现慢性进行性眼外肌瘫痪、肌肉损伤和耳聋[15]。本文报道1例新发的mt-DNA ND3基因突变导致的MELAS合并肌张力障碍的临床资料。
临床资料
患儿男,12岁,因“发作性肢体僵硬7年余,发作性肢体抽搐5年”入院。患儿4岁出现肌张力障碍,表现为左侧肢体僵硬、活动不灵活、上楼梯困难,缓慢进行性加重。7岁时(2011年6月)无诱因睡眠中出现发作,表现为喉中发声、头眼右偏、右上肢抬高、全身强直阵挛,持续3分钟缓解。多为睡眠中发作,平均1周发作1晚,1晚可发作1-3次。最长4月未见发作。予丙戊酸钠治疗,1月后停用。间断中药治疗。多次发作后说话逐渐不清晰、腕关节屈曲僵硬,无法下蹲,可站立小便,无法独立大便。11岁10月以来发作增加,平均1周发作2-3天,发作日中间隔1小时反复发作。来我院后予“开浦兰、安坦、辅酶Q”治疗后症状好转。11岁11月至12岁10月无发作。自行停用辅酶Q此后再次发作,每日均有2-3次发作。现服“开浦兰 250mg bid、安坦1mg bid”。今为进一步诊治,拟“癫痫”收入院进一步诊治。既往无脑炎、脑膜炎、脑外伤病史,无热性惊厥及癫痫疾病家族史。个人史:母G2P2,孕期正常,足月顺产第二胎。1岁会走路。上到学前班,无法上学,现能帮忙做少许家务。专科检查:神志清楚,构音不清,伸舌不出,双上肢肌张力障碍,说话时面部肌张力障碍。独立行走,步基宽,横行,下蹲后无法维持姿势。四肢伸肌肌张力高,双侧肱二、三头肌腱反射亢进,双侧膝、跟腱反射亢进,双侧Babinski征阳性。
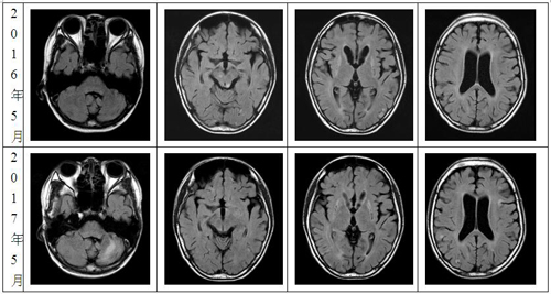
入院后辅助检查:头颅MRI (见图1): 患儿2016年5月与2017年5月头颅MRI T2 flair对比: 2017年5月左侧小脑半球新发病灶、双侧脑干异常信号消失、双侧基底节区异常信号不变、双侧颞顶枕叶皮层区多发异常信号增多或消失。视频脑电图(见图2):间歇期:双侧大脑半球广泛性癫痫样放电。发作期临床表现:先兆→眼睑阵挛→双侧非对称性强直(右颈肌著)→强直-阵挛(头面部著)→GTCS;发作期脑电图无侧向性。脑脊液常规未见异常。脑脊液乳酸:3.02mmol/L(正常值1.33-1.78mmol/L);血清静息乳酸3.22 mmol/L (1.33-1.78 mmol/L)。乳酸运动15分钟后:2.45 mmol/L,乳酸休息15分钟后:2.03 mmol/L;血清铜蓝蛋白、甲功三项、尿铜、血及脑脊液自身免疫性抗体检查均阴性。左侧腓肠肌骨骼肌肌肉活检 (见图3):骨骼肌肉组织可见肌间质轻度增生、散在分布的多角形萎缩肌纤维,未见线粒体脑肌病典型病理改变。骨骼肌电镜检查 (见图4):未见明显异常的线粒体。线粒体脑肌病基因检测结果提示 (见图5):血液中ND3 m.10197G>C, 54.4%, m.10197delG, 5.5%。骨骼肌肉样本中ND3 m.10197G>C与m.10197delG,突变负荷分别为82.1%和8.7%。
图1患儿2017年5月(第2行)与2016年5月(第1行)头颅MRI T2 flair对比:左侧小脑半球新发病灶、双侧脑干异常信号消失、双侧基底节区异常信号不变、双侧颞顶枕叶皮层区多发异常信号增多或消失。

图2间歇期脑电图(左):双侧大脑半球广泛性癫痫样放电。发作期脑电图(右):发作起始无侧向性。参数:低频:1.6Hz;高频:70Hz;敏感度:10μV;
图3 肌肉活检HE染色:所检骨骼肌组织内未见束周肌萎缩。MGT染色:未见镶边空泡和破碎红纤维(RRF),未见肌内神经束;SDH染色:未见破碎蓝纤维和SDH强反应性血管;COX染色:未见COX阴性纤维。

图4电镜下肌纤维膜连续,大部分具有排列整齐的Z线,肌原纤维间有很多电子密度较高、形态未见明显异常的线粒体(图a);肌膜下可见线粒体堆积,但未见巨大线粒体(图b);部分肌纤维细胞核中心移位,核周及肌原纤维间可见大量空泡,以及少量髓鞘样的自噬体(图c);间质中的毛细血管基膜轻度增厚(图b、图c);偶见一个肌纤维的肌原纤维溶解严重,部分肌小节消失,有丝状小体位于核周(图d)。

图5血液样本(左图)及骨骼肌样本(右图)中线粒体脑肌病基因检测:ND3基因的两个杂合变异 m.10197G>C 和m.10197delG,在血液标本中突变负荷分别为54.4% 和 5.5%。在骨骼肌样本中突变负荷分别为82.1% 和 8.7%。
讨论
本例患者以左侧肌张力障碍起病,缓慢进展至对肢并进行性加重。临床表现还有癫痫发作、智能低下、血乳酸增高,MRI显示颞、顶、枕叶皮质多灶性损害,1年内部分病灶消失,部分病灶新增,均支持MELAS诊断;基因方面,患者线粒体ND3基因第10197位点在血液及肌肉组织中分别检测到变异负荷为54.4%和82.1% 的G到C的点突变,同一位点在血液及肌肉组织中还分别检测出变异负荷分别为5.5%和8.7%的G缺失的移码突变。但是,对其母亲的线粒体基因组进行一代测序定点突变检测,没有发现这个突变存在的实验依据,这可能因为母亲的线粒体基因同一位点只是低比例嵌合,一代测序精度不足,未来可通过完善此位点高精度定点检测来验证。
另外,已有2篇报道证实线粒体 ND3基因第10197位点的点突变引起肌张力障碍合并多种线粒体脑肌病。Emmanuelle等人[9]报道了3个不同的家系中有相似的肌张力障碍合并Leigh综合征的疾病表型,母亲与子代均能找到mtDNA ND3基因中10197位点G到A的点突变,但由于其突变比例较低,三个家系的母亲发病较轻或不发病,证明了mtDNA突变的表型由多个基因修饰。另外一篇报道了[7]一个家系中的18位肌张力障碍合并Leber遗传性视觉缺失的发病者,都提示白细胞mtND3 第10197位点G到A的点突变。结合本病例,我们发现,mtDNA ND3基因中10197位点的点突变均引起肌张力障碍,但其合并的线粒体脑肌病的疾病表型并不相同。
此外,本例患者在血液及骨骼肌细胞mtDNA第10197位点发现2种突变类型,即点突变(G>C)及移码突变(delG),国内外均未见报道。基于目前的基因检测手段,我们无法证实本病的致病基因为点突变、移码突变或上述2种突变共同作用所引起的。但是,由于两种突变类型变异负荷差异较大,血液中点突变(G>C)及移码突变(delG)分别为54.4%和5.5%,骨骼肌点突变(G>C)及移码突变(delG)分别为82.1%和8.7%,根据线粒体病发病率与突变mtDNA数目有关,且越多临床症状越重,我们认为本病的致病基因可能与点突变更为相关。
综上所述,依据美国ABMGG变异分类指南,我们认为m.10197G到C点突变及移码突变(delG)新型变异为“Ⅱ类可能有致病性变异”,可能引起肌张力障碍及MELAS。
参考文献
[1] Blakely E L, de Silva R, King A, etal. LHON/MELAS overlap syndrome associated with a mitochondrial MTND1 gene mutation[J]. Eur J Hum Genet, 2005, 13(5): 623-627
[2] 魏妍平,崔丽英,彭斌. ND3 基因突变导致的线粒体脑肌病重叠综合征二例. 脑与神经疾病杂志, 2016.24(10).626-630.
[3] Lertrit P, Noer A S, Jean-Francois, et al. A new disease-related mutation for mitochondrial encephalopathy lactic acidosisand strokelike episodes (MELAS) syndrome affects the ND4 subunit of the respiratorycomplex I[J]. Am J Hum Genet, 1992, 51(3):457-468.
[4] Crimi M, Galbiati S, Moroni I, et al. A missense mutation in the mitochondrial ND5 gene associated with a Leigh-MELAS overlap syndrome[J]. Neurology, 2003, 60(11): 1857-1861.
[5] Ravn K, Wibrand F, Hansen F J, et al. An mtDNAmutation14453G-Ain the NADH dehydrogenase subunit 6 associated with severe MELAS syndrome[J]. Eur J Hum Genet, 2001,9(10): 805-809.
[6] Klaus G. E.W., Chantal F. M., Adam K. et.al, Rolandic Mitochondrial Encephalomyelopathy and MT-ND3 Mutations. Pediatr Neurol 2009.41: 27-33.
[7] Kang Wang, Yuji Takahashi, Zong-Liang Gao, Guo-Xiang Wang, Xian-Wen Chen, Jun Goto, Jin-Ning Lou, Shoji Tsuji. Mitochondrial ND3 as the novel causative gene for Leber hereditary optic neuropathy and dystonia. Neurogenetics, 2009, 10:337–345.
[8] David K. M., Minal J. M., Cas S. et al, Rapid Identification of a Novel Complex I MT-ND3 m.10134C.A Mutation in a Leigh Syndrome Patient. Plot ONE.2014.9(8):e104879.
[9] Emmanuelle S., Michael D. B., Sophie L., et al. A Novel Recurrent Mitochondrial DNA Mutation in ND3 Gene Is Associated With Isolated Complex I Deficiency Causing Leigh Syndrome and Dystonia. American Journal of Medical Genetics, 2007, Part A 143A:33–41.
[10] Salvatore G., Maria l.C., Elena C. et al, Complex I deficiency related to T10158C mutation ND3 gene: A further definition of the clinical spectrum. Brain & Development. 2017. 39(3): 261 - 265.
[11] Goto Y,Horai S, mitochondrial myopathy, encephalopathy, lactic acidosis, and stroke-like eposiodes: a correlative study of thr clinical features and motichonadrial DNA mutation. Neurology, 1992, 42(3):545-550.
[12]Stenqvist;L;Paetau;A;Valanne;L;Suomalainen;A;Pihko;H;A juvenile case of MELAS with T3271C mitochondrial DNA mutation. Pediatr Res. 2005.58(2): 258-262.
[13]de;Coo;IF;Sistermans;EA;de;Wijs;IJ;et al. A mitochondrial tRNA(Val) gene mutation (G1642A) in a patient with mitochondrial myopathy, lactic acidosis, and stroke-like episodes. Neurology. 1998. 5(N) :293-295.
[14]Campos,Y.;Lorenzo G.;Martin M.A. et al. A mitochondrial tRNA(Lys) gene mutation (T8316C) in a patient with mitochondrial myopathy, lactic acidosis, and stroke-like episodes. Neuromuscul Disord.2000, 10(7):493-496.
[15]吴江,贾建平等,神经病学,第3版,北京:人民卫生出版社,2017:440-444.

下一篇:“以爱为舟,以心为灯”
Copyright 2006-2026 广东三九脑科医院版权所有 粤ICP备11100995号 服务性质:非营利性网站 粤卫网审(2013)10号
粤公网安备 44011102002143号