http://www.999brain.com 侯小川 吴杰 闫学强 时间:2018-11-29 来源:神经外六科 编辑:lsw 阅读:13440
颅内毛细血管扩张症是少见的小血管疾病,临床多表现为脑血管畸形。颅内毛细血管扩张症占颅内血管畸形的16%~20%,为胚胎时期脑血管胚芽发育异常而形成的畸形血管团,在中枢系统任何位置都可发现,以小脑及脑桥、半球最为多见。患者在临床表现上多无任何症状,由于病灶微小,影像学表现不明显,CT扫描、常规MRI序列和MRA难以发现,诊断困难。本文通过 1 例颅内毛细血管扩张症进行分析,总结临床表现及诊断方法。
病历资料
患者女,64岁,因“头部蚁爬感2年”为主诉于2018年7月11日入院。
2年前患者无明显原因诱因出现间断有头部蚁爬感,站立时较明显,半年前出现间断性全身无力,双下肢间断性疼痛、麻木。无头痛、恶心、呕吐、抽搐、吞咽困难、呛咳。5月前突发头晕,在当地医院就诊行头颅CT、MR检查提示脑干占位性病变,胶质瘤可能性大;双侧额叶、右侧基底节多发小缺血灶。现为进一步诊治,来本院就诊。
既往史:10年前患者左手腕部外伤手术内固定治疗(具体不详)、头部砸伤后左耳听力进行性下降,否认有高血压病,糖尿病,冠心病病史。否认高热惊厥史。否认颅脑外伤史。否认传染病史。
个人史:无烟酒嗜好。
专科检查:神志清、精神可,对答切题、查体配合。双侧瞳孔等大等圆,直径3.5mm,对光反射灵敏,眼球各项运动正常。双侧额纹对称,双侧鼻唇沟对称,伸舌居中,悬雍垂居中,张口口角无歪斜,双侧面部感觉正常,角膜反射灵敏。四肢可自主活动,肌力、肌张力正常。颈软无抵抗,四肢腱反射正常,闭目难立征、共济试验阴性,生理反射存在,病理反射未引出。
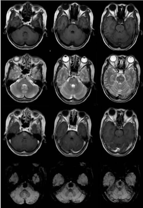
辅助检查: 外院CT、MR:脑干占位性病变,胶质瘤可能性大;双侧额叶、右侧基底节多发小缺血灶。本院半球MRV检查未见异常;MRS序列提示桥脑病变感兴趣区谱线稍欠平稳,其Cho及Cr各峰未见升高或下降,其NA峰未见明显下降;DWI序列提示桥脑病变弥散不受限;SWI序列提示:1.桥脑病变考虑为血管源性病变,血管畸形(毛细血管扩张症)可能;2.左侧放射冠区含铁血黄素沉积(见图1)。2018年7月19日本院DSA检査提示:右侧颈内动脉交通段瘤样突起,呈囊状,大小约0.5mm*1.0mm。余脑血管造影未见明显异常。

图1.可见T1WI表现为稍低信号、T2WI 表现为稍高信号,增强表现为稍高信号,磁敏感加权成像(SWI)表现为类圆形极低信号,边界清楚,与周围组织对比鲜明。
经讨论,脑干毛细血管扩张症建议随访观察;动脉瘤偏小,未出血,经科室讨论,建议随访观察。
临床诊断:1.桥脑毛细血管扩张症;2.右侧颈内动脉交通段动脉瘤。
讨 论
颅内毛细血管扩张症病因不明,可能与毛细血管发育异常有关。相比于脑动静脉畸形、海绵状血管瘤和静脉性血管畸形,毛细血管扩张症发病率最低,但可并存海绵状血管瘤。临床多见于中老年人,多数患者无临床症状,极少数可因血管破裂出血出现相应表现。 病变部位以桥脑、延髓和小脑较常见,也可见于大脑半球和脊髓。有症状的颅内毛细血管扩张症极其罕见,若不行病理检查无法确诊。症状性 ICT 多数表现为脑出血,或可以合并脑梗死,或无卒中发生,也可有一些表现如头痛、头晕、耳鸣、听力下降、共济失调、癫痫、面瘫、肢体偏瘫等。颅内毛细血管扩张症CT检查通常呈等密度而难以发现病变,常规头颅 MRI 检查时部分病灶在T1WI表现为稍低信号、T2WI 表现为稍低信号或稍高信号、FLAIR 序列表现为低信号而被发现,但仍存在较多漏诊。磁敏感加权成像(SWI)能够突出组织间磁敏感性的不同,毛细血管扩张症病变内静脉血中含有脱氧血红蛋白,导致磁场不均匀,从而引起血管与周围组织的相位差加大,这使得脱氧血红蛋白成为一种内源性的对比剂而清晰地显示细小静脉,可清楚地显示毛细血管扩张症病灶,图像上表现为点状、圆形或类圆形低信号,边界清楚,与周围组织对比鲜明,故扩张的毛细血管在该序列上表现为极低信号,对诊断该病显示出绝对明显的优势。本例患者以头面部感觉异常症状入院,头颅CT及常规头颅 MRI 诊断为胶质瘤可能性大,而SWI可清楚地显示毛细血管扩张症病灶,与周围组织对比鲜明。总之,颅内毛细血管扩张症多无症状,少数患者可表现为卒中症状,临床可通过磁敏感加权成像进行鉴别诊断,便于下一步治疗选择。
诊断和鉴别诊断:脑内常见病变如胶质瘤、炎性肉芽肿、脱髓鞘改变等可以合并出血,在 SWI 序列上也可出现低信号,但结合其他常规序列MRI,基本可确定诊断,多半不需要与其他疾病鉴别。临床诊断时最需鉴别的是单纯性小出血灶或小静脉,其SWI 信号特点与其相似,诊断时需结合临床病史,必要时行增强检查并分析相位图像,有助于鉴别。

Copyright 2006-2026 广东三九脑科医院版权所有 粤ICP备11100995号 服务性质:非营利性网站 粤卫网审(2013)10号
粤公网安备 44011102002143号