http://www.999brain.com 汪文胜 梁倩雯 时间:2019-02-22 来源:影像中心 编辑:lsw 阅读:6780
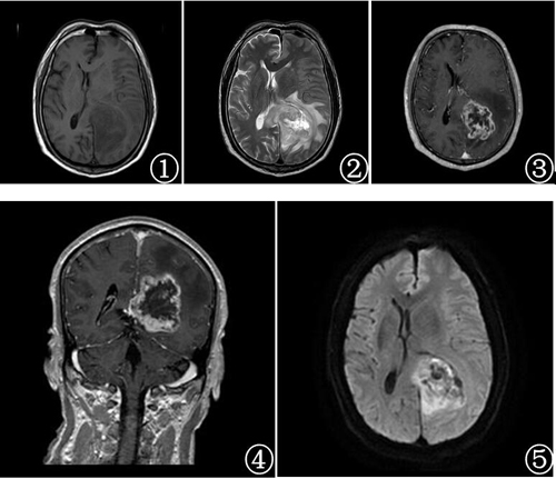
患者老年男性,60岁,因右侧肢体无力1周于2016年2月25入院。患者无明显诱因出现右侧肢体无力,不能上楼,伴右侧偏身麻痹不适,感觉异常,头痛头晕,无呕吐,于当地医院就诊,颅脑CT提示颅内占位。后于本院就诊,实验室检查无明显异常。颅脑MRI检查示左侧颞顶枕叶-胼胝体压部左侧一不规则团块状肿块影,边界较清,大小约为5.5cm×5.4cm×4.9cm,T1WI呈不均匀低信号,T2WI呈不均匀稍高、高信号,液体衰减反转恢复(FLAIR)序列T2WI呈高低混杂信号,其内见多发大小不等囊变区域,增强扫描病灶呈厚壁花环状明显不均匀强化,其内可见多发栅栏样条状强化,周围见较中度水肿带,左侧侧脑室受压变窄。DWI序列显示病灶呈高信号为主,其内间杂多发斑点状低信号。MRS显示病灶内N-乙酰基天门冬氨酸(NAA)峰明显下降,胆碱(Cho)升高,并在1.33ppm处出现高耸的Lip峰。DTI序列显示左侧额枕束中断,病灶周围左侧皮质脊髓、扣带、胼胝体纤维束受推压、移位。术前考虑为恶性肿瘤性病变,考虑胶质母细胞瘤或胶质肉瘤可能。
手术及病理:术中可见灰白色肿瘤组织,与周围脑组织粘连、浸润,肿瘤组织成鱼肉样,质中稍软,边界不清,无包膜,血运丰富。术后送病理,镜下肿物见片状坏死,瘤细胞弥漫分布,密度中等,部分瘤细胞胞浆丰富,核类圆形或不规则形,核大深染,异型明显,部分瘤细胞梭形或不规则形,束状、编织状排列,血管内皮见增生。免疫组化: S-100蛋白为部分阳性(+)波形蛋白(VIM)、p53蛋白为阳性,胶质纤维酸性蛋白(GFAP)、少突胶质细胞转录因子-2(Olig-2)、角蛋白(CK)、上皮膜抗原(EMA)、抗黑素瘤特异性单抗(HMB45)、神经丝蛋白(NF)均为阴性。细胞核增殖抗原(Ki67)60%(+)。病理符合胶质肉瘤(gliosarcoma,GS),WHOⅣ级。术后患者行放疗及替莫唑胺同步化疗等综合治疗2月后出院。
患者1月后常规返院复查,MRI示左侧颞顶枕叶-胼胝体压部左侧术区边缘呈环形强化,强化程度明显。胼胝体右侧新增一明显强化结节。考虑肿瘤复发可能,进一步行MRS检查,取胼胝体右侧新增病灶为感兴趣区示N-乙酰基天门冬氨酸(NAA)峰明显下降,胆碱(Cho)升高,综合考虑肿瘤复发。
讨论
胶质肉瘤是一种少见、具有双相分化的神经系统混合性恶性肿瘤,占多形性胶质母细胞瘤的1.8%~8%,占颅内肿瘤低于0.5%。1895年Strobe首次正式提出胶质肉瘤是胶质母细胞瘤合并有肉瘤成分,之后在1955年Feigin和Gross再次其进行分析,才得到采纳与使用,目前最新的WHO中枢神经系统肿瘤分类(2016年)将其定义为胶质母细胞瘤的一个亚型,WHO Ⅳ级。胶质肉瘤已证实有神经胶质和间叶组织两种成分,神经胶质成分符合IV级星形细胞瘤(多形性胶质母细胞瘤)的细胞学标准,间叶组织成分即肉瘤。
胶质肉瘤好发于30岁至60岁成年人,男性稍多于女性,多位于幕上大脑半球凸面,以颞叶最常见,其次为顶叶、额叶及枕叶,偶发生于幕下或中线结构。绝大部分胶质肉瘤为单发,偶有多发。肿瘤生长速度快,侵袭性强,多数病程较短。本病临床表现缺乏典型,与肿瘤位置及颅内压有关,常见症状有头痛、恶心、癫痫、功能缺失等。本例患者病灶累及范围大,临床症状明显,但其肿瘤部位累及胼胝体压部在既往病例较为少见。
MR检查能清晰显示胶质肉瘤发生部位、大小、形态、边界、信号及强化特点,以及临近脑实质、脑膜情况。肿瘤为囊实性占位性病变,临近的硬脑膜或大脑镰容易受侵犯。肿瘤边界较清楚,周围伴有不同程度的瘤周水肿,以轻-中度瘤周水肿多见。T1WI肿瘤一般呈低信号,T2WI呈不均匀高信号,注射造影剂后肿瘤表现为均匀或者不均匀强化,边缘强化更加明显,有些表现为厚壁不规则环形强化,特征性强化方式为内部多发栅栏样条状强化。病灶中实性肉瘤成分,由于为非胶质组织中有排列紧密的细胞及纤维基质,在T2WI信号强度较低但增强扫描呈明显强化;而T2WI明显不均匀高信号区域则为伴有囊变坏死的胶质瘤成分。MRS显示病变区域Cho峰升高,NAA峰明显下降,并可以出现代表坏死的Lip峰。DWI显示与大部分恶性肿瘤相似,实性成分表现为高信号,弥散受限,说明肿瘤细胞排列密集。
鉴别诊断上,胶质肉瘤主要和脑膜瘤、髓母细胞瘤和转移瘤等鉴别,部分肿瘤鉴别需要结合病史及临床特点,病人的发病年龄有助于和髓母细胞瘤鉴别,胶质肉瘤多发生于中老年人,后者发生于儿童或年轻人。胶质肉瘤常位于脑表面时形态及强化方式类似于脑膜瘤,特别是当胶质肉瘤侵犯脑膜形成脑膜尾征时,但前者T2WI信号混杂,增强扫描呈不均匀强化,并可出现内部的典型栅栏样强化;而后者多在T2WI呈等信号,增强扫描呈均匀强化。颅内转移瘤亦多见于老年人,多数有明确原发病史,表现形式多样,出现单发颅内转移瘤亦需要和胶质肉瘤鉴别,但转移瘤瘤周水肿明显,而胶质肉瘤水肿相对较轻,文献报道运用多种MR功能成像检查,有助于两者鉴别。当然对于不典型部位及表现的胶质肉瘤需要综合临床、影像以及手术获得病理最终确诊。
胶质肉瘤的治疗主要包括手术切除和术后放疗,文献报道综合治疗可以提高病人的生存时间,但总体复发率高,生存时间不长。本例患者在术前运用MR常规及多种功能检查,详细提供了胶质肉瘤影像表现的相关资料,能为以后提高术前诊断的准确性提供参考。术后综合治疗后复查,同样采用多种MR功能检查进行随访,并发现新发病灶,为临床调整治疗策略提供了有效的参考,体现出MR在胶质肉瘤术后监测的特殊价值。



图1~8患者术前头颅MRI检查。T1WI见左侧颞顶枕叶-胼胝体压部左侧占位,边界清楚肿瘤呈不均匀低信号(图1) T2WI呈不均匀稍高、高信号,其内见囊变区域(图2) 增强扫描病灶呈厚壁花环状明显强化,其内可见多发栅栏样条状强化(图3,4) DWI序列显示病灶呈高信号为主,其内间杂多发斑点状低信号(图5) DTI检查显示左侧额枕束中断(图6),MRS显示病灶内NAA峰明显下降,胆碱峰升高,并在1.33ppm处出现高耸的Lip峰(图7,8)
图9显微镜下见部分瘤细胞胞浆丰富,核类圆形或不规则形,核大深染,异型明显,部分瘤细胞梭形或不规则形,束状、编织状排列,血管内皮见增生(HE ×120)。

下一篇:“以爱为舟,以心为灯”
Copyright 2006-2026 广东三九脑科医院版权所有 粤ICP备11100995号 服务性质:非营利性网站 粤卫网审(2013)10号
粤公网安备 44011102002143号