http://www.999brain.com 梁倩雯 时间:2019-08-28 来源:影像诊断中心 编辑:XL 阅读:7029
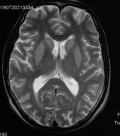
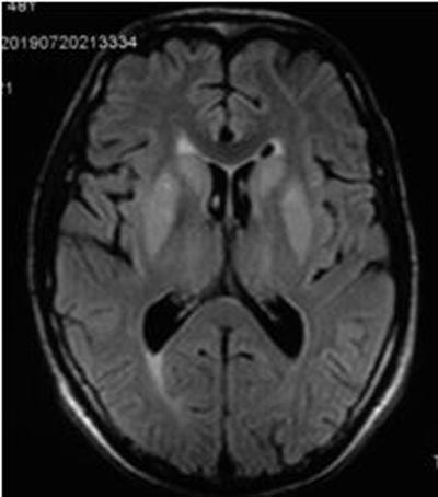
患者男性,42岁,因“嗜睡1月余,阵发性面部抽搐1天”入院。患者既往在当地因“食管癌”行手术及放化疗,自诉已恢复良好。患者MR片显示双侧基底节区对称性T2WI、FLAIR系列高信号,DWI序列提示弥散轻度受限。入院当天离子五项显示钾离子、钠离子、氯离子、镁离子均降低,其中钠离子为131.4mmol/L。遂询问患者家属相关病史,患者于1月前出现嗜睡,于当地医院对症治疗(补充电解质)稍好转,随后出现阵发性面部抽搐,为进一步治疗转至我院。综合病史及实验室检查,高度提示脑桥外髓鞘溶解(extrapontine myelinolysis , EPM)。
脑桥外髓鞘溶解是渗透性脱髓鞘综合征 (osmotic demyelination syndrome, ODS )其中一种,另一种为脑桥中央髓鞘溶解症( central pontine myelinolysis , CPM)。ODS是一类常见于快速纠正低钠血症后出现的渗透性脱髓鞘疾病[1]。本病一般在低钠血症恢复后1-2周出现相关症状,主要临床表现为迅速发生下肢瘫或四肢瘫,伴有假性球麻痹症状,严重者可发展为假昏迷,后死亡。
CPM 常累及脑桥基底部,呈现对称性类似"蝙蝠样"病灶,其中髓鞘溶解,而神经元突相对完好,从中缝向两侧发展。而EPM多累及基底节、皮质、小脑等脑桥外结构[2]。发病初期CT检查对本病可无异常发现。故磁共振成像 (MRI) 对诊断ODS 起到重要作用,尤其是MR弥散加权成像 (diffusion weighted imaging , DWI) 及表观扩散系数 (apparent diffusion coefficient , ADC)使得 ODS 的早期诊断成为可能。

T2WI

FLAIR

DWI
[1] 姚东晓,刘为耐,姚智博,等.脑桥中央髓鞘溶解症合并脑桥外髓鞘溶解症的磁共振成像动态变化[J].中国临床神经科学,2019,27(1):72-77.
[2] 蒋雯巍,蒋雨平.渗透性脱髓鞘综合征[J] .中国临床神经科学,2007, 15: 306-309.

上一篇:十宣刺血,手功能康复的好帮手
下一篇:“以爱为舟,以心为灯”
Copyright 2006-2026 广东三九脑科医院版权所有 粤ICP备11100995号 服务性质:非营利性网站 粤卫网审(2013)10号
粤公网安备 44011102002143号