http://www.999brain.com 时间:2020-10-28 来源:影像科 编辑:lsw 阅读:5362
运动神经元病(MND)是一种病因未明,主要累及大脑皮层、脑干和脊髓运动神经元的神经系统变性疾病。特征性表现为肌无力、肌萎缩及延髓麻痹等上、下运动神经元损害,是一种导致肌无力、残疾和最终死亡的持续进展性神经变性疾病。其中ALS是运动神经元病最常见的类型。排除其他明确病因后,以电生理广泛神经源性损害而诊断,发病年龄在50-70岁之间。大多数为散发病例(90%-95%),家族性占5%-10%。临床上ALS患者以延髓症状起病,表现为吞咽困难、言语不清、舌肌萎缩及纤颤占25%;以呼吸系统等症状起病,出现憋气、活动后气短等呼吸肌无力表现占5%;以肢体症状起病,主要包括肢体无力、肌肉萎缩、肌肉纤维颤动占 70%。ALS的病因和发病机制扔不明确,可能与多种原因导致的神经系统有毒物质堆积,特别是与自由基和兴奋性氨基酸增加损伤神经细胞相关。重金属暴露(铝、铅)、杀虫剂暴露、有机溶剂暴露、头部外伤、损伤史及既往遭受电击等是ALS显著增加潜在危险因素,同时存在上、下运动神经元受累的体征,是诊断ALS的要点。
病例:患者女性,31岁。因“进行性四肢无力一年余”于2020年6月23日入院。患者一年前无明显诱因进行性右手无力,活动不灵,逐渐活动困难,一月前左侧肢体无力,右手无力较前加重,右手鱼际肌、骨间肌萎缩,右手鱼际肌、骨间肌稍萎缩,无吞咽困难及饮水呛咳,肌电图提示广泛运动神经源性损害。其祖父有类似肌肉萎缩病史。

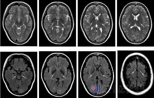
▲神经影像学检查:头颅MRI: 双侧皮质脊髓束、双侧额叶中央前回皮层下白质对称性T2WI及FLAIT序列异常高信号。
ALS最早期的MRI特征为皮质脊髓束在T2WI上呈高信号,这种信号改变起始于内囊,逐渐累积脊髓,造成脊髓萎缩、体积缩小,此外运动皮层异常的铁沉积和神经退行性改变使中央前回皮层在T2WI和T2*WI呈线状低信号。该患者头颅MRI发现了对称的皮质脊髓束损害。累及皮质脊髓束的疾病谱,工作中第一个想到的病就是ALS。既往我们在工作中只关注ALS患者的电生理检查,而忽略了头颅MRI对称的皮质脊髓束也是ALS的一个重要临床表现。有MRI皮质脊髓束损害的患者,症状进展更快,病程更短。在以后的临床工作中,如果遇到类似患者,当电生理尚未达到ALS诊断标准(3个部位的上、下运动神经元病变证据)时,而MRI提示了对称的双侧皮质脊髓束损害时,应该高度怀疑ALS,做到早期诊断。

下一篇:“以爱为舟,以心为灯”
Copyright 2006-2026 广东三九脑科医院版权所有 粤ICP备11100995号 服务性质:非营利性网站 粤卫网审(2013)10号
粤公网安备 44011102002143号