http://www.999brain.com 时间:2021-01-26 来源:神经外二科 编辑:lsw 阅读:4906
患者陈某,男性,50岁,1周前出现左侧肢体麻木,就诊地医院查复查头颅CT提示:右侧额颞岛叶肿瘤,肿瘤包绕颅内大血管,当地医院建议转院治疗。家属多方打听后就诊于我院门诊。此时的患者精神差,懒言少语,给予安排住院,继续给予完善后续检查明确诊断与治疗。
检查:患者入院后查体:神志清楚,对答切题,双侧瞳孔等大等圆直径2.5mm,对光反射灵敏,四肢肌力5级,肌张力正常,生理反射存在,病理反射未引出。我院 3.0TMR颅脑平扫, MR弥散成像全套(DWI)检查意见: .右侧额颞岛叶-放射冠占位性病变,结合MRS,考虑高级别胶质瘤,胶质母细胞瘤或间变性星形细胞瘤可能性大;病灶包绕右侧大脑中动脉主干及分支,邻近柔脑膜存在脑膜转移可能;2.弥漫性轻度脑萎缩。

图一、术前影像显示;MRI明显强化
治疗:术前检查完善后,经过我科专家小组讨论后初步诊断右侧额颞岛叶-放射冠胶质瘤,考虑患者肿瘤位于基底节功能区,为在保护功能的前提下最大限度切除肿瘤,决定安排唤醒全麻下行肿瘤切除手术,术中手术医师与麻醉医师及患者密切配合,在与患者交流并随时观察肢体活动,术中电刺激确定安全范围,术中见肿瘤质地软,血供丰富,术中雕刻切除肿瘤,功能血管完美保留,完整切除肿瘤。
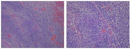
图二、病理结果((右侧额颞岛区)幕上室管膜瘤,WHOII级)

图三、术后复查,肿瘤全切除
患者目前情况:术后患者恢复好,神志清楚,言语流利,四肢肢体肌力5级,肌张力正常,1周后及出院,目前于肿瘤放疗科继续治疗,正常生活未受影响。
林涛副主任医师点评:胶质瘤是颅内最常见的肿瘤,肿瘤手术的目标是最大程度的切除肿瘤,同时避免神经功能障碍。肿瘤最大程度有效切除可以控制癫痫发作、改善由占位引起的不适症状、降低手术取样误差风险。对低级别胶质瘤患者,可以降低恶化转移的风险。肿瘤切除的程度也与肿瘤的进展时间和患者总体生存时间有关。肿瘤复发风险最大的是影像学上增强信号或肿瘤边界向外2cm范围内的区域,因此理想的手术切除策略应该是切除时超过肿瘤边界。但是,当术后出现明显神经功能障碍如偏瘫时,扩大切除带来的生存优势则会丧失。因此,中央沟周围及基底节区等功能区的胶质瘤手术的安全性对患者康复而言至关重要。术中使用脑皮层电刺激可导航脑功能区。麻醉唤醒对于功能区的保护有一定的作用,如果它能为肿瘤安全切除提供必要且可靠的信息,应当被采用。

上一篇:儿童运动性构音障碍的言语矫治
下一篇:“以爱为舟,以心为灯”
Copyright 2006-2026 广东三九脑科医院版权所有 粤ICP备11100995号 服务性质:非营利性网站 粤卫网审(2013)10号
粤公网安备 44011102002143号