http://www.999brain.com 时间:2017-07-18 来源:脑血管病介入诊疗中心 编辑:xzd 阅读:15629
脑血管病介入诊疗中心组建于2003年,经过临床实践,并引入国际先进技术和千余例神经介入手术的磨练成长,软、硬件设备及医护人员的合理配置、诊疗水平均处所在地区先进行列。
目前中心年手术量超过1500台,在出血性脑血管病(如动脉瘤、动静脉畸形、动静脉瘘、脊髓动静脉畸形等)的栓塞治疗、缺血性脑血管病(如颅内、外动脉狭窄、颅内动脉急性梗塞、静脉窦血栓形成及闭塞)等支架植入、溶栓治疗方面取得显著疗效。
神经介入是近几年迅猛发展起来的新技术,为许多病人实现了不开刀实施脑部手术的梦想。该技术需依赖大型放射线设备DSA(数字减影血管造影),DSA是通过计算机把血管造影片上的骨与软组织的影像消除,仅在影像片上突出血管的一种摄影技术。GE IGS 630双C血管机为更安全更高效的实现该技术提供了保障。

【优势一】智能3D引导,无失真3D脑血管影像,三维指引栓塞。
脑动脉瘤是导致脑出血的重要原因之一,一旦破裂应及时治疗,介入治疗是主要方法之一。一般体积增大、形态改变建议手术;未破裂动脉瘤导致心理障碍,影响工作生活的可考虑手术。脑动脉瘤介入治疗就是把一个很细的管放入动脉瘤内,然后通过这个导管往里面填塞非常柔软的金属弹簧圈,将动脉瘤完全堵塞防治再次破裂或生长。

▲经过造影剂显影,脑血管变得清晰可见。
双侧颈内动脉3D重建技术,显示的是人两侧大脑半球动脉血管图像。

▲脑血管造影检查发现脑动脉瘤。
血管影像透明化技术让动脉结构一览无遗,更精准引导动脉瘤治疗。

▲前交通动脉瘤的血管造影图,红色一点被称为“定时炸弹”,
一旦破裂,死亡或病残率极高。

▲密网支架在血管中的展示(白色部位),
用于治疗未破裂的大型宽颈动脉瘤。
【优势二】自动提取供血动脉,血流量化评估,瘘血管三维精显,AVM智能三维导航。
脑血管畸形是脑血管先天性发育异常,其中动静脉畸形最常见,即是由一团动脉、静脉及动脉化的静脉(动静脉瘘)样血管组成,脑血管发育障碍引起的局部血管数量和结构异常,并对正常脑血流产生影响。临床上常表现为反复的颅内出血、部分性或全身性癫痫发作、短暂性脑缺血发作和进行性神经功能障碍,也是引起颅内蛛网膜下腔出血的第二位病因。

▲典型的脑动静脉畸形,
红色的为供血动脉及畸形血管团,蓝色的为粗大的引流静脉。
如果脑动静脉畸形没有位于重要功能区,不是巨大脑动静脉畸形,一般可通过外科手术、介入治疗或放射治疗治愈。介入治疗就是通过血管内途径,将一根很细的导管(直径<0.5mm)在X线下小心插入到动静脉畸形团内,然后注射一种液体胶将畸形团封闭,防止畸形团再次破裂出血。

▲血管自动提取功能,
令供血动脉在杂乱的血管中一目了然。
当血管变得狭窄或闭塞时,可植入支架支撑血管,恢复血管通畅。医生只需要在患者大腿切开一个2毫米的小口,就可以把支架送入血管,到达发病部位,免除了患者要接受开颅手术的痛苦。临床上缺血性中风,半数因颅内外动脉狭窄导致,脑血管支架是治疗缺血性中风的有效方法。

▲椎动脉狭窄支架植入的前后对比图,
原来近乎闭塞的血管在支架植入后恢复正常的管径。
【优势三】融合多源MR/CT/DSA图像,为手术保驾护航。
DSA/MR一键融合,精准手术治疗。高清类CT评估,出血早期发现,提高手术安全和效率。

▲智能颅骨开窗,颅骨与血管融合,
指导开颅手术入路选择,评估治疗效果。

▲MRI显示大脑组织,DSA显示脑血管图像,
将两者融合在一起,更加精准定位脑内血管与病灶。

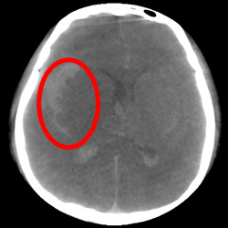
▲介入手术后高清类CT评估,早期发现出血并发症,
尽早制定治疗策略,提高手术安全和效率。

下一篇:“以爱为舟,以心为灯”
Copyright 2006-2026 广东三九脑科医院版权所有 粤ICP备11100995号 服务性质:非营利性网站 粤卫网审(2013)10号
粤公网安备 44011102002143号