http://www.999brain.com 时间:2013-11-16 编辑:韩雪媚 阅读:14233
恶性淋巴癌又称淋巴瘤,是我国常见的十大恶性肿瘤之一。近年来,淋巴癌患者明显增多。创新工场CEO、著名微博名人李开复于今年9月被证实患上淋巴癌;央视播音员罗京、《情深深雨濛濛》方瑜的扮演者李钰、台湾知名歌手阿桑等明星都因淋巴癌离世。广东三九脑科医院肿瘤综合治疗中心蔡林波主任表示,淋巴癌可能发生于全身各处,比如胃、口腔、脑、肺、乳腺等,虽然淋巴癌恶性程度极高,但对放射治疗极为敏感,早期发现大部分患者可以达到很好的治疗效果,有质量的延长生命。
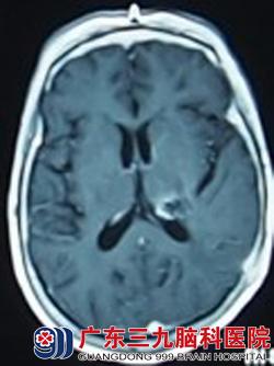
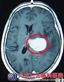
66岁的王女士因反复头晕1个月,在当地检查怀疑为脑肿瘤,为求进一步治疗而来到广东三九脑科医院。入院结合头部检查考虑为左侧基底节丘脑肿瘤(考虑为淋巴瘤可能性大),完善相关检查后在全麻下行左侧基底节、丘脑肿瘤穿刺活检术,术中冰冻病理考虑恶性肿瘤,淋巴瘤可能性大。术后王女士呈嗜睡状态,精神较差、烦躁,考虑为肿瘤进展快速所致,在与家属充分沟通告知病情后,果断为其行抢救性放疗以改善症状,避免病情恶化。放疗2次后王女士精神状态好转,烦躁情况较前改善。抢救性放疗3天后病理回报为弥漫大B细胞淋巴瘤,诊断明确,治疗予同步放化疗,随后行全脑放疗、适形放疗。治疗完毕后王女士各项生命体征平稳,神志清楚,无其他不适症状。治疗后一个月回院复查见其康复良好。

放疗前 放疗后1个月复查肿瘤消失
【专家点评】:
中枢神经系统淋巴瘤早期表现为头痛、呕吐等高颅压症状,并可伴有精神方面的改变,如性格改变和嗜睡等。蔡林波主任称,本病对放射治疗十分敏感,可很快改善临床症状,在病理诊断明确后应首选放射治疗。
康复准备出院的王女士及家属给科室送来了锦旗以示感谢。(与主管医生山常国合影)

Copyright 2006-2026 广东三九脑科医院版权所有 粤ICP备11100995号 服务性质:非营利性网站 粤卫网审(2013)10号
粤公网安备 44011102002143号