http://www.999brain.com 时间:2017-11-21 来源:肿瘤综合治疗中心 编辑:xzd 阅读:35814
患者陈某,女,15岁,因“生长发育缓慢,饮水多,尿多”于2010-8-4首次入院。患者7岁开始生长发育明显较同龄儿缓慢,体格瘦小,并出现易渴且尿多症状,后逐渐有所缓解,现仍异于正常。
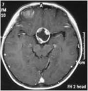
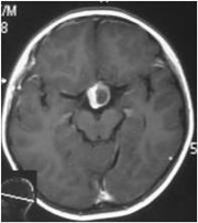
入院后行CT、MR检查,显示:鞍区及鞍上较大占位病变,考虑颅咽管瘤。遂于2010-08-11在全麻下行“鞍区及鞍上颅咽管瘤切除术”,术后病理:造釉细胞型颅咽管瘤。于2011-01-04开始给予三维适形放疗,总结量5040cGy/28F。放疗后,患者定期回院复查肿瘤复发征象。
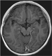
目前,患者22岁,体格仍较同龄人偏小,但身体上无其他不适症状,已正常参加工作。

2010年8月 术前

2010年12月 术后4月(放疗前)

2017年10月 放疗后6年余
颅咽管瘤是生长在鞍区附近的一种良性颅内肿瘤,任何年龄均可发生,是儿童最常见的先天性肿瘤,发病高峰在15岁左右。肿瘤生长缓慢,病程较长,主要损害视丘下部及周围的结构,引起内分泌功能紊乱,视力损害和颅内压增高。
尽管它是一种良性肿瘤,但由于瘤体毗邻下丘脑、垂体柄、视交叉等重要结构,且具有明显复发倾向,使颅咽管瘤的治疗成为巨大挑战。治疗原则,主要采用手术切除,分完全切除和部分切除。部分切除多联合放疗,放射治疗对于延长术后复发时间有良好效果。

Copyright 2006-2026 广东三九脑科医院版权所有 粤ICP备11100995号 服务性质:非营利性网站 粤卫网审(2013)10号
粤公网安备 44011102002143号