http://www.999brain.com 时间:2015-03-10 来源:综合神经外科 编辑:谢莉 阅读:11967
28岁的小舟一个月前开始出现头痛,头晕等症状。最近发作的频率逐渐增高,起初以为是工作压力大,疲劳导致,一直吃药调理,但不见好转。有一天在上班时突然出现剧烈头痛、呕吐、神志不清。被同事紧急送往医院,头颅MRI提示鞍区囊实性占位,颅咽管瘤可能性大,肿瘤大小为34.5mm×36.5mm×24.5mm,梗阻性脑积水。
入住广东三九脑科医院综合神经外科,鲁明主任主刀急诊全麻下行经额胼胝体及前纵裂联合入路鞍区颅咽管瘤切除术。由于肿瘤为囊实性,从鞍区往三脑室方向生长,术中按经胼胝体入路作右侧额部弧形切口,铣刀取下4cm×5cm骨瓣,从纵裂逐步分离,切除肿瘤,90%的肿瘤组织顺利切除,但剩余10%的肿瘤与垂体柄粘连紧密,手术视野受限,为能全切肿瘤,术中果断延长手术切口,于右侧额部另铣一骨瓣,从前纵裂终板入路切除剩余肿瘤。最终肿瘤镜下全切,术后复查头颅MR未见肿瘤残留。术后小舟恢复良好,四肢活动正常,未出现异常并发症。


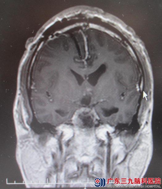
▲手术前


▲手术后
【综合神经外科鲁明主任解析】
颅咽管瘤由于在鞍内生长,与下丘脑、垂体柄、Wills动脉环、脑干等有着密切的粘连关系,导致手术难度大,术后并发症多,所以颅咽管瘤手术尤其是全切除术仍是神经外科医生面临挑战的课题之一。影响颅咽管瘤手术全切除的因素众多,其中选择恰当的手术入路、术者娴熟的显微神经外科技术、局部应用解剖及术中对下丘脑及重要穿支血管的保护是影响颅咽管瘤全切及减少术后并发症的关键因素。
此病例在全切肿瘤过程中对紧密粘连的垂体柄完好保护,不仅可以防止发生垂体柄横断综合征,还可在彻底切除肿瘤组织的同时,最大限度地保留正常垂体组织,提高了患者手术后的生存质量。

上一篇:奇迹是这样发生的
Copyright 2006-2026 广东三九脑科医院版权所有 粤ICP备11100995号 服务性质:非营利性网站 粤卫网审(2013)10号
粤公网安备 44011102002143号