http://www.999brain.com 时间:2017-05-12 编辑:韦庆锋 阅读:37293
阮姓女子,45岁,6年前无明显诱因左侧视力下降,遂就诊当地医院,行头颅MR提示颅咽管瘤。予手术治疗术后患者左侧视力失明,术后病理提示:颅咽管瘤。近1个月前无明显诱因出现右眼视力下降,就诊当地医院行头颅MR提示:鞍区占位性病变,颅咽管瘤复发可能性。患者为求进一步治疗,来我院就诊。门诊拟“颅咽管瘤术后复发”收治入院。

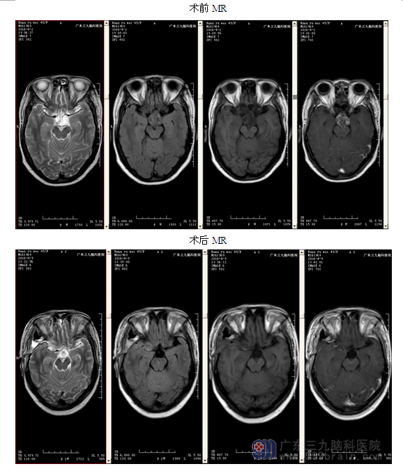
入院后完善相关检查,头颅MRI平扫示:头颅MR提示:鞍区占位性病变,颅咽管瘤复发可能性。查体:右侧视力消失,左侧视力半米数指。诊断:颅咽管瘤术后复发。行全麻下 “颅咽管瘤切除术+ICP探头置入术”,手术由神经外二科主任林涛主刀完成,术程进展顺利,显微镜下将肿瘤全切。病理提示:“鞍区”颅咽管瘤(造釉细胞型)。术后头颅MR提示:颅咽管瘤术占位性病变切除术改变,原病变已全切除。
专家点评
广东三九脑科医院神经外二科林涛主任介绍:颅咽管瘤尽管组织学上表现为良性,颅咽管瘤仍可以因为显微手术后残留而复发,部分术后影像学证实全切除者也有复发。不同文献报道的颅咽管瘤复发率也不相同,这主要取决于手术切除的完全程度,也与肿瘤细胞本身的增殖潜能及侵润性生长有关。该患者的术后病理提示为造釉细胞型,而该病理组织学类型的肿瘤细胞更具侵润性,其复发概率最高。
由于再次手术时术区可能粘连严重而致解剖暴露困难,可能费时较长,对于再次手术时伴有一侧视力完全丧失者,一般术者可能较少考虑视力保护。本病例复发肿瘤较大,且出于保护患者仅有的左侧视力,采用右侧翼点入路,沿蝶骨嵴逐步深探,于鞍区见肿瘤病变,肿瘤包膜完整,双侧视神经受压明显,于第一及第二间隙切除肿瘤,肿瘤塌陷后,小心仔细分离肿瘤包膜,最后达到镜下次全切除肿瘤,术中视神经及颈内动脉等重要神经血管保护良好,术后患者左侧视力亦未受损。
Copyright 2006-2026 广东三九脑科医院版权所有 粤ICP备11100995号 服务性质:非营利性网站 粤卫网审(2013)10号
粤公网安备 44011102002143号