http://www.999brain.com 时间:2015-05-26 编辑:廖紫阳 阅读:31067
71岁的刘某本可在家安度晚年,坐享天伦之乐,可是,就在一年多前,她出现了右侧头部疼痛,阵发性枕部牵拉痛,持续数分钟至数小时不等,每天上午约11时出现剧烈疼痛,到相关医院进行眼眶CT示双侧眼球内斜位,头颅MRI+MRA示右侧额叶、基底多发性腔梗,右侧中后组筛窦、蝶窦,暂考虑炎症,由于刘某还出现了视力下降,在眼科医院眼球彩超室双侧玻璃体混浊(+)伴后脱位。脑脊液常规示白细胞17*106/L,脑脊液生化示蛋白0.87g/L,颅脑MR增强示双侧大脑及小脑幕脑膜增厚,右侧明显,考虑一个脑膜炎,给予相关治疗后,效果差,2014年10月,刘某左眼亦出现视力下降,到其他医院行头颅MRI+增强示弥漫性硬脑膜强化并右额颞部硬膜下小血肿,脑脊液常规示白细胞20*106/L,脑脊液生化示蛋白1.714g/L,再接受相关治疗后,刘某仍感不适,遂到广东三九脑科医院进一步治疗。
收治入院后,完善相关检查发现:患者意识清楚,懒言少语,言语不清,记忆力、计算力、定向力等认知功能下降,MMSE13分(存在认知功能障碍),右侧眼裂小,右眼失明,右侧瞳孔扩大,直接对光反射迟钝;左侧瞳孔正常,直接对光反射稍迟钝,余脑神经(-),双下肢肌力五级弱,肌张力正常,双侧腱反射(++),左侧Babinski征、Chaddock征均(+),颈部绵软,Kernig征、Brudzinski征均(-),双侧指鼻试验、快复轮替动作及跟膝胫试验均完成。故初步诊断为:1、头痛查因:硬脑膜炎(特发性肥厚性)?2、脑梗死?3、硬膜下血肿(恢复期)?神经内二科王展航主任在详细了解病人病情后,制定了详细的治疗方案,给予病人改善脑循环、神经营养、激素、康复治疗等加强对症支持治疗。
刘某在经过一段时间的系统治疗后,感觉头痛缓解,右眼无明显疼痛,但仍处于失明状态,左眼视力下降的情况有所好转,精神状态和饮食都有明显的改善,其余症状得到明显的缓解和改善,遂出院回家带药治疗。
【专家点评】
神经内二科王展航主任介绍:脑血管类的疾病多发于老年人,家属平常要多关注家里老人的身体情况,注意老人们的血压变化,如果老人家出现了躯体不适,尽早带其就医。平常也要多叮嘱老人家适量运动,多走走,多和家属沟通,保持一个良好的生活习惯,以便可以安享晚年。
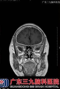
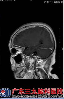
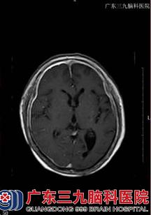
【头颅MRI结果】:




上一篇:头痛在后枕部
Copyright 2006-2026 广东三九脑科医院版权所有 粤ICP备11100995号 服务性质:非营利性网站 粤卫网审(2013)10号
粤公网安备 44011102002143号