http://www.999brain.com 时间:2015-11-30 来源:综合神经外科 编辑:谢莉 阅读:30833
中枢神经系统神经母细胞瘤虽然少见,但恶性程度高,治疗难度大,岛叶区的细胞神经母细胞瘤治疗难度更大。
由于岛叶紧邻重要的神经结构和脑血管,被许多血管和神经组织包绕,手术难度大,并发症多。有效切除病灶而不损伤周围正常组织结构有一定困难,不适当的手术操作往往造成额叶或颞叶损伤,引起术后失语、癫痫等等并发症。手术成败与显微外科技术和解剖熟悉程度以及术中监测手段等密切相关。
岛叶原发性肿瘤的切除,对于神经外科医师来说充满着挑战。
【典型案例】
活泼的琦琦一直没有什么异常,直到最近一段时间,同学们发现她的眼睛在看东西时出现斜视,还因此笑话过她,性格开朗的琦琦也没当一回事。
两周前琦琦出现间断头痛、头晕,症状逐渐加重,伴有恶心呕吐,父母带着她去医院,头颅CT检查提示右侧颞岛叶占位,考虑胶质瘤。
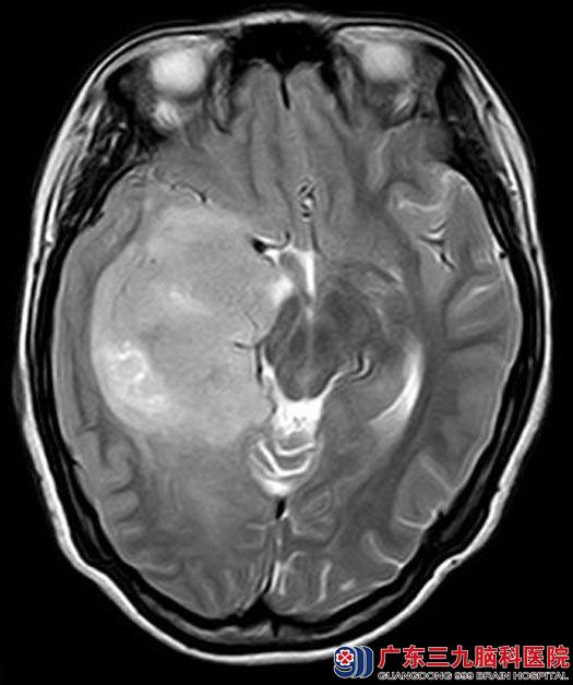
入住广东三九脑科医院综合神经外科,头颅MR检查提示:右侧颞岛叶巨大占位,增强后病灶局部示斑片状轻至中度强化,大部分未见强化;病变边界部分欠清,大小约为7.0cm×5.3cm×4.5cm,病变累及胼胝体压部。邻近外侧裂区血管明显受压移位,右侧脑室受压变形变窄,中线结构向左侧偏移,考虑弥漫性星形细胞瘤合并局部间变可能。

鲁明主任主刀,在全麻及唤醒麻醉下行右侧颞岛顶叶巨大占位切除术,术中见肿瘤呈烂鱼肉样,血供丰富,唤醒患者、显微镜下行肿瘤切除,语言、肢体活动功能正常,手术过程顺利,术后琦琦恢复很快。术后病理结果:中枢神经系统节细胞神经母细胞瘤。


Copyright 2006-2026 广东三九脑科医院版权所有 粤ICP备11100995号 服务性质:非营利性网站 粤卫网审(2013)10号
粤公网安备 44011102002143号