http://www.999brain.com 时间:2017-04-19 来源:肿瘤综合治疗中心 编辑:xzd 阅读:45318
患儿,4岁,因“饮水呛咳2月,行走不稳20余天,意识模糊4天”急诊入院。入院时,患儿功能状态(KPS)评分20分,格拉斯哥昏迷评分(GCS)评分10分,嗜睡,意识模糊。诊断:脑干占位性病变,胶质瘤可能性大。

家属代述,2016年3月患儿饮水呛咳,家属未予以重视;5月患儿逐渐出现行走不稳,易摔倒,吞咽困难,伴眼球活动异常。到当地医院就诊,查头颅MRI提示:脑干占位。家属拒绝手术。5月19日转诊至港大医院,患儿左手活动不灵活,行走不能;一周后,患儿精神萎靡,不愿自主活动,因对光反射迟钝,告病重,建议临终关怀。


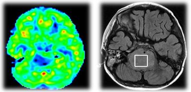
2016年5月27日,患儿急诊入我院肿瘤综合治疗中心。查MRI:脑干占位性病变,桥脑明显肿胀。ASL:脑干病变内明显低灌注,周围呈等灌注。MRS:Cho峰升高,NAA峰明显减低,Cho/Cr比值1.55,支持肿瘤性病变。

考虑II-III级胶质瘤可能,遂展开治疗。首先放疗定位,同步替莫唑胺75mg/㎡ ,20%甘露醇+激素 脱水,次日上午开始进行适形放疗,第一阶段给予剂量180cGy*22F。患儿体温下降至35.2--35.8℃,心率由入院时的90bpm下降至50-60bpm,GCS评分下降至7分。家属知情同意后,给予贝伐珠单抗10mg/kg 100mg ivd治疗,患儿生命体征趋向平稳,继续放疗。

治疗后患儿情况明显好转,2016年6月16日,患儿病灶缩小23cc。于5个月后,患儿KPS=100分,治疗8个月后随访患者仍存活。
2017-3-16治疗8月后
广东三九脑科医院肿瘤综合治疗中心蔡林波主任介绍,DIPG的治疗面临严峻的挑战,但放疗仍然是主要治疗手段。放疗前、中、后症状和/或影像学迅速进展的DIPG,使用贝伐单抗可减轻水肿,有助于顺利完成放疗。贝伐单抗治疗后可获得临床症状及影像学改善,可延长PFS。靶向治疗及免疫治疗的新进展可能为难治性儿童DIPG的治疗带来新的希望!

Copyright 2006-2026 广东三九脑科医院版权所有 粤ICP备11100995号 服务性质:非营利性网站 粤卫网审(2013)10号
粤公网安备 44011102002143号