http://www.999brain.com 时间:2016-05-17 来源:综合神经外科 编辑:谢莉 阅读:46170
听神经瘤多发生于听神经的前庭段,少数发生于耳蜗部,随着肿瘤生长变大,患者会逐渐出现一些症状;早期为耳鸣、耳聋,中期为面神经或三叉神经症状,如面瘫、三叉神经痛,后期为脑干受压导致的躯体症状,如半身感觉障碍,甚至肢体瘫痪。晚期的病人如果合并脑积水,甚至可能突然昏迷死亡。本病属良性病变,如能早期发现,并全切肿瘤,常常能永久治愈。
由于肿瘤与脑干等重要结构毗邻,对神经外科医师是极大的挑战。切除听神经瘤的手术,保留听力比较困难,除了肿瘤大小、累及神经的程度以及手术设备等因素,更重要的还有神经外科手术专家的经验和手术技巧。经验丰富的专家,听力保留率明显升高。
【典型案例】
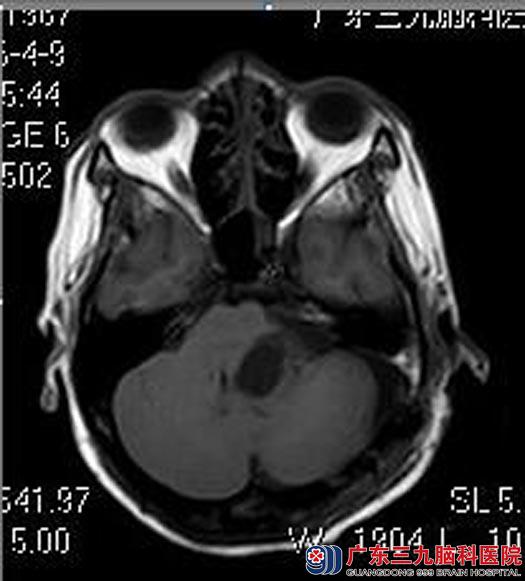
钟小姐一年前出现左侧耳鸣伴听力下降,在当地医院多次就诊未发现异常。二个月前出现左侧面部麻木不适,头晕伴有行走不稳,行头颅MRI检查发现“左侧桥小脑角占位性病变,考虑听神经瘤;梗阻性脑积水”。

住院在广东三九脑科医院综合神经外科,查体:左侧鼻唇沟变浅,左侧轻度面瘫,左侧面部有麻木感,闭目难立征(+)。
鲁明主任主刀,在全麻下行左侧听神经瘤切除术,术中见肿瘤位于左侧桥小脑角,黄白色,质中,显微镜下电凝分块切除,左侧听神经、面神经位于肿瘤前下方,分离面神经保留完整,三叉神经、舌咽神经受肿瘤压迫明显,细心分离完整保留,肿瘤全切。术后钟小姐自诉面部麻木感及耳鸣消失,听力较前好转,无明显后组颅神经损害症状。术后病理提示:神经鞘膜瘤。


上一篇:莫把头痛当小病
Copyright 2006-2026 广东三九脑科医院版权所有 粤ICP备11100995号 服务性质:非营利性网站 粤卫网审(2013)10号
粤公网安备 44011102002143号