http://www.999brain.com 时间:2016-05-18 来源:神经外八科 张立民 华刚 编辑:lsw 阅读:27884
患者男性,50岁,因“发作性意识不清34年,发现左枕新发病变1年余”入院。 患者于16岁时起病,表现为突发意识障碍,全身抽搐,口吐白沫,持续数分钟缓解。以后一年1-2次,均为睡眠中发作,2015年发作加重,临床表现为无先兆,双眼上翻、嘴角右歪,面肌强直,继发全身强直阵挛发作,持续约2-3分钟后缓解,发作后全身乏力,每月多次发作,遂来广东三九脑科医院神经外八科就诊。既往食用过生肉生水。
入院查体:神经系统检查未及明显阳性体征。头部CT示:左枕局部可见钙化影(如图1),左侧额顶枕多发软化灶(CT表现为低密度灶,如图2)。头颅MRI增强扫描后显示:1.左侧额顶枕叶及左侧基底节区多发病变,现增强后左侧枕叶病变异常强化,考虑存在寄生虫感染(脑裂头蚴病可能)2.脑白质少许脱髓鞘灶;3.脑干偏左侧缩小,考虑沃勒变性。血/脑脊液化验示寄生虫抗体IgG/IgM:阳性。
入院诊断考虑:脑裂头蚴病,继发性癫痫。排除手术禁忌症后在全麻下行左枕部开颅脑裂头蚴切除术。
手术过程顺利,抓获脑裂头蚴活虫一只,长约11厘米。术后患者无明显功能障碍,目前已康复出院。




【专家点评】
裂头蚴是假叶目绿虫第2期幼虫的统称,我国裂头蚴病主要是曼氏裂头蚴感染,主要发生在福建、广东等东南沿海地区,人是裂头蚴的偶然宿主。裂头蚴可存在于人体的多个器官,以侵犯眼、皮下及口腔颌面部等部位多见,脑裂头蚴病临床相对罕见。可从以下几点协助诊断脑裂头蚴病。
病史:患者往往有敷贴蛙皮、蛙肉、食用蛙肉及蛇肉、蛇胆、饮用生水或生蛇血等既往史。我科自2011年至2016年收治脑裂头蚴病患者15例,其中食用熟或未熟蛙肉有10例,食用生水有2例,不明原因者3例。
临床表现:因感染部位的不同而各异。以侵犯额叶、顶叶多见,也有侵犯颞叶、内囊、外囊、基底节或小脑等。临床症状多以头痛、癫痫发作或肢体障碍等为主,严重者可见颅高压、视力损害、意识障碍突然死亡等。
实验室检查:
1.血液/脑脊液:嗜酸性粒细胞:嗜酸性粒细胞增多在寄生虫感染中具有重要的辅助诊断价值。嗜酸性粒细胞一般见于存在抗原-抗体反应的组织。脑脊液嗜酸性粒细胞增多最常见脑寄生虫病和嗜酸性粒细胞增多症。故脑脊液中嗜酸性粒细胞增多能为诊断脑裂头蚴病做出提示。
2.免疫学检查:免疫学检查方法对曼氏裂头蚴病的早期感染、深部组织寄生是一种较好的辅助诊断方法,可弥补病原学和影像学诊断的不足。常用的方法有酶联免疫吸附试验(ELISA)、免疫印迹试验(Immunoblotting)及金标免疫渗滤法(DIGFA)等方法。
影像学检查:
1.CT扫描:1922年Chang KH等认为该病在CT检查有以下三联征表现:1.白质区不规则的低密度占位灶,伴有临近脑室略微扩张,反映白质退行性病变;2.点状钙化灶;3.病灶结节状或不规则增强,提示活动的感染肉芽肿。
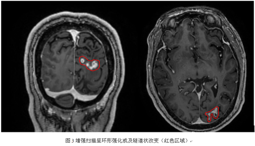
2.MR扫描:汪文胜等报道一组25例病例影像学特征:1.T1W1呈低信号,T2W2呈稍高或等信号,冠冠状位和矢状位增强图像呈更清楚的梭形或柱形隧道样改变——“隧道征”;2.聚集的小环状或串珠样强化;3.不同阶段的病灶交替出现在同一层面的图像上;4.病灶具有游走性。人体感染脑裂头蚴病后,裂头蚴幼虫会在脑组织内穿行,造成坏死隧道,虫体内的蛋白酶能溶解周围组织,引起炎症反应这就是形成脑裂头蚴病影像学表现的病理学基础,即机械性损伤与炎性肉芽肿并存。
治疗:本病的治疗关键是去除活的虫体,因此,手术常为首选方法。由于裂头蚴可在颅内活动,往往造成多发病变,给确定活虫位置造成一定困难,特别是当病变累及重要功能区时,往往使得手术抓获活虫体难度增加。我们的经验是:重视患者癫痫发作症状学演变和最近的影像学变化,往往新的病变区域或新的症状产生代表区域是活虫所在区域。而且神经导航指引下手术是必需的。资料显示,一般只要去除完整的虫体,病人的临床症状即可得到明显的缓解或痊愈,一般无需特殊药物治疗。

Copyright 2006-2026 广东三九脑科医院版权所有 粤ICP备11100995号 服务性质:非营利性网站 粤卫网审(2013)10号
粤公网安备 44011102002143号