http://www.999brain.com 时间:2016-06-20 来源:神经外二科 编辑:韦庆锋 阅读:34778
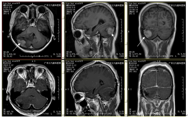
患者林某某,女,19岁,因头痛1月于2016年03月入院。入院时神志清楚,正确对答以及遵嘱活动,双侧瞳孔等大等圆,对光反射灵敏,四肢肌力5级,肌张力正常,生理反射存在,病理征阴性。辅助检查:外院头颅CT示:颅内占位性病变,未见片及报告。
治疗:入院后完善相关检验检查及术前准备,在全麻下行右侧小脑肿瘤切除术,术中可见肿瘤位于右侧小脑,血供丰富,边界欠清楚,质韧,肿瘤深面可见坏死组织,镜下予全切除肿瘤,术程顺利,术后予脱水、改善脑功能、预防感染、止血、对症、支持等综合治疗。术后复查头颅CT、MRI示:呈术后改变,肿瘤全切除。术后病理:髓母细胞瘤(WHO IV级)。
患者无诉手术切口疼痛,无发热,无恶心呕吐,无肢体乏力,无其他不适。查体:神志清楚,双侧瞳孔等大等圆,直径约2.5mm,对光反射灵敏;头部切口I/甲愈合,颈软;四肢肌力肌张力正常,病理征未引出。
诊断:髓母细胞瘤(右侧小脑,WHO IV级)

专家点评:
髓母细胞瘤(MB)大部分肿瘤位于中线,而位于小脑半球者较为少见, 故极易误诊。对于成人小脑半球实质性肿瘤患者要考虑到MB的诊断。症状主要有高颅压症、共济失调及后组颅神经征等。小脑半球MB脑积水的发生率明显减少,这可能与肿瘤位置有关,因为肿瘤位于中线易导致第四脑室梗阻性脑积水。由于肿瘤位于小脑半球,手术多采用枕下旁正中及倒钩形切口。术后予以放疗及化疗等辅助治疗,与一般MB无异。
目前大多数报道提示成人MB预后较儿童为好,但其确切机制仍不十分明确,原因可能是两者的分子生物起源及发病机制有所不同。其次,肿瘤位于中线者可能较易沿脑室系统通过脑脊液转移,而小脑半球肿瘤则较少转移。

Copyright 2006-2026 广东三九脑科医院版权所有 粤ICP备11100995号 服务性质:非营利性网站 粤卫网审(2013)10号
粤公网安备 44011102002143号