http://www.999brain.com 脑血管病介入诊疗中心 冯志洪 时间:2016-06-24 编辑:lsw 阅读:16989
患者,男性,34岁,颈部疼痛5天,加重伴右上肢麻木3天 。
查体:神志清醒,颈稍硬,四肢肌力Ⅴ级,感觉、肌张力基本正常,脑膜刺激征(+)。

颈4-6水平脊髓内(偏右后部)病变及延髓至颈6水平脊髓周缘线状强化影,考虑为动静脉畸形,并颈髓水肿。

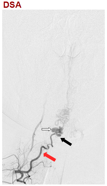
右斜位,右侧甲状颈干造影动脉期,显示颈升动脉(红箭)供应颈4-5水平瘘口(黑箭),静脉迅速出现,伴静脉球形成(白箭)。

正侧位,甲状颈干造影静脉期,显示瘘口主要经颈髓前(箭头)、后静脉(黑箭)引流入颅,引流静脉迂曲、增粗、扩张,部分经椎旁静脉丛引流。动静脉之间未见明显畸形团结构。

左侧甲状颈干选择性造影,显示瘘口位置及扩张静脉与对侧形态形态相似。考虑双侧颈升动脉供应相同瘘口。予以ONXY进行栓塞瘘口,栓塞物控制于扩张的静脉球内。

栓塞后复查右侧甲状颈干造影见引流静脉不显影,瘘口完全栓塞。右侧颈升动脉(红箭)经吻合处逆流进入左侧颈升动脉(黑箭)。证实双侧颈升动脉供应相同瘘口。

栓塞后CT显示颈4-6水平(偏右后部)栓塞材料高密度影。

出院情况:右上肢麻木较前好转,脑膜刺激征(-),顺利出院。

5月后复诊,患者症状消失,无特殊不适,物神经系统阳性体征。右侧甲状颈干造影未见髓周动静脉瘘显影复发 ,达临床治愈。
【专家点评】
脊髓动静脉瘘一般都位于髓周,所以直接将这一类型称作髓周动静脉瘘,它与脊髓动静脉畸形的主要区别是有无畸形血管团,二者是一个相对的概念。
分型:
Ⅰ型,多为圆锥或马尾处的小型动静脉瘘,由细长的脊髓前动脉供血;
Ⅱ型,多为位于软膜后外侧或前外侧的较大的动静脉瘘,有多个分散的吻合口组成,由扩张的脊髓前动脉或脊髓后动脉供血;
Ⅲ型,单个巨大型或多个动静脉瘘,由多条明显扩张的脊髓前动脉或脊髓后动脉供血。
致病机理:1. 出血 2. 动脉偷流 3. 占位效应 4.脊髓静脉高压
治疗原则:消灭瘘口 。
治疗方法:手术和栓塞,或者单纯栓塞。
病变消失程度的影像结果判定:根据栓塞后即刻的脊髓血管造影显示、手术后造影或三个月后脊髓磁共振证实畸形消失的情况。共分为病变100%消失、消失>95%,消失<95%三种情况。

上一篇:新型毒品的危害
Copyright 2006-2026 广东三九脑科医院版权所有 粤ICP备11100995号 服务性质:非营利性网站 粤卫网审(2013)10号
粤公网安备 44011102002143号