http://www.999brain.com 时间:2017-07-27 来源:神经外一科 编辑:lsw 阅读:41565
张某,男,36岁。2017年4月因突发头痛伴意识障碍到广东三九脑科医院神经外一科就诊,行头颅CT提示蛛网膜下腔出血,左侧颈内动脉末端动脉瘤,完善术前检查后行动脉瘤栓塞,术后患者恢复良好出院。
2017年5月张某在家中突发右侧肢体乏力伴言语障碍,急查头颅CT提示左侧额颞顶叶脑出血,考虑动脉瘤再破裂,复查全脑血管造影提示动脉瘤复发,动脉瘤内弹簧圈移位到动脉瘤外。完善相关准备后予行复发动脉瘤动脉瘤夹闭术,术程顺利,术后复查全脑血管造影术提示动脉瘤未显影,术后一般情况良好,肢体乏力及言语障碍较前改善。

图1:术前CTA提示左侧颈内动脉末端动脉瘤

图2:术前CT提示蛛网膜下腔出血

图3:第一次术前:造影提示左侧颈内动脉末端动脉瘤,囊状,大小约3.0mm*3.0mm,窄颈,朝后生长

图4:第一次栓塞术后,造影提示动脉瘤不显影,血流通畅

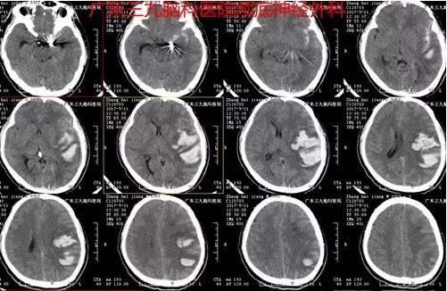
图5:出院后1月患者突发肢体乏力、言语不清,急查头颅CT提示颅内出血

图6:再次行造影提示左侧颈内动脉末端动脉瘤栓塞术后改变,颈内末端可见弹簧圈形态改变、移位,近端可见一囊状动脉瘤大小约2.0mm*4.0mm,朝后生长

图7:动脉瘤夹闭术后造影提示动脉瘤已不显影,血流通畅,动脉瘤夹在位

图8:术后CT提示术后改变
【专家点评】:
据神经外一科刘振业教授介绍,血管内介入治疗可有效防治动脉瘤破裂出血,术后死亡率和致残率明显低于开颅夹闭,被广泛用于颅内动脉瘤治疗。但长期随访发现血管内介入治疗后动脉瘤影像学复发率高, 这成为血管内介入治疗的主要问题。血管内介入治疗后动脉瘤复发是指影像学复查时动脉瘤显影体积较术后即刻显影增加,在临床研究中也有将动脉瘤栓塞术后再出血归人动脉瘤复发的范畴。本例患者栓塞术后突发肢体乏力、言语障碍,CT提示颅内再出血,脑血管造影明确提示动脉瘤复发,结合CT表现考虑复发动脉瘤破裂所致出血。
医学专家指出,动脉瘤部位对介入治疗后复发存在影响,后循环动脉瘤单纯弹簧圈栓塞术后较前循环动脉瘤易复发,介入治疗中使用支架可降低术后动脉瘤复发。有报道862例后循环动脉瘤患者栓塞术后复发率为22.5%,而前循环1901例动脉瘤随访复发率为15.5%,后循环动脉瘤栓塞治疗后复发率明显高于前循环动脉瘤。本例患者为颈内动脉末端近前循环动脉瘤,术中未使用支架,考虑可能与其复发有关。
对于小的复发动脉瘤,主张继续随访;而对于再出血和大复发的动脉瘤均应及再次治疗,再治疗的方式包括血管内介入再治疗和开颅手术治疗。开颅动脉瘤夹闭是颅内动脉瘤一种传统的安全有效的治疗方式,同样也可应用于栓塞术后复发颅内动脉瘤的再治疗。由于弹簧圈常与动脉瘤瘤壁紧密粘连,术中弹簧圈取出易引起动脉瘤破裂出血,但是本例患者的弹簧圈不在动脉瘤内,已经移位至动脉瘤外,因此开颅夹闭术不牵涉取出弹簧圈,手术相对简单。由于移出的弹簧圈已经被软组织包裹,所以没有必要取出。术中分离瘤颈要小心,因为瘤颈被增厚的纤维组织包裹,分离困难。分离时尽量避免动脉瘤破裂。本例手术顺利,时间短,术后患者恢复良好。

Copyright 2006-2026 广东三九脑科医院版权所有 粤ICP备11100995号 服务性质:非营利性网站 粤卫网审(2013)10号
粤公网安备 44011102002143号