http://www.999brain.com 时间:2016-07-20 来源:神经外二科 编辑:韦庆锋 阅读:29908
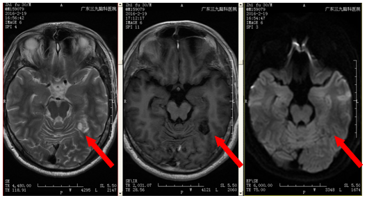
植先生,因3个月前无明显诱因出现四肢抽搐,伴意识障碍,伴抽搐后头痛,遂就诊当地医院,颅MR提示:左侧枕颞叶交界处底部占位性病变,为求进一步治疗来我院就诊,入院后完善相关检查,行左侧枕颞叶交界处占位性病变切除术+ICP探头置入术,术程顺利,病理提示:左侧枕颞叶交界处胚胎发育不良性神经上皮肿瘤(DNT,WHO 1级),术后恢复良好。

术前检查

术后检查
【专家点评】
该病变属于胚胎发育不良性神经上皮瘤(DNT),主要见于青少年,男性患者稍多于女性。DNT主要表现为难治性部分性癫痫发作,少数为复杂部分发作。对于影像学,CT通常表现为皮层内边界清楚的低密度病灶,注药无强化,瘤周无水肿,占位效应不明显。MRI表现:T1表现为低信号,T2表现为高信号的边界清楚的病灶,病变周围无水肿,无明显占位效果,注药后有20%-30%的病变出现轻度局灶性强化。1.对曾经有癫痫大发作、头痛患者要引起警惕,及时去医院检查。2.有局部癫痫发作者,应高度警惕发生本病的可能。DNT只能行手术治疗,预后良好,手术切除后不需要行放疗及化疗。术后病变复发率及低,少数病人可能出现复发及恶变。
上一篇:蹲不下的男孩就医
Copyright 2006-2026 广东三九脑科医院版权所有 粤ICP备11100995号 服务性质:非营利性网站 粤卫网审(2013)10号
粤公网安备 44011102002143号