http://www.999brain.com 时间:2016-06-23 编辑:廖紫阳 阅读:2369

□文/内二科 匡祖颖
【病例摘要】
患者陈某某,女性,25岁,因“头晕呕吐1天,伴四肢抽搐1次”于2015年10月29日入院,2015年11月1日出院,共住院4天。患者缘于1天前顺产后2小时出现头晕,呈昏沉感,伴头痛,整个头部胀痛感,伴呕吐胃内容物一次,当时监测血压收缩压最高达180mmHg,当地医院给予降压处理后效果欠佳,收缩压仍有140-160mmHg,患者头晕及呕吐症状稍改善,但有夜间睡眠欠佳。次晨患者突然出现四肢抽搐一次,双上肢屈曲,双下肢僵硬,双眼上翻,无口吐白沫,呼之不应,持续约1分钟后自行缓解,不能记起当时发生的事情,家属求进一步治疗转入我院。
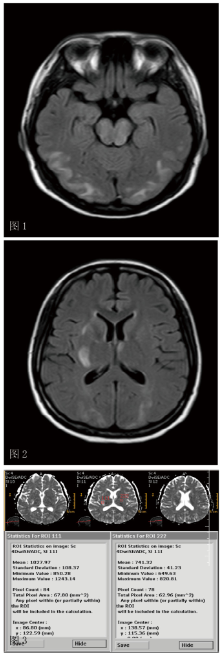
入院查体:意识清楚,双眼睑及四肢均可见轻度水肿,讲话流利,定向力、理解力、计算力、记忆力无异常,双侧瞳孔等大正圆,直径3mm,对光反射灵敏,眼球活动无受限,双侧眼球未见明显眼震,伸舌居中,听力粗测无异常,步态不合作,Romberg征不合作,构音清晰,无饮水呛咳,四肢痛觉、触觉检查无异常,四肢肌力和肌张力正常。四肢腱反射对称存在。共济检查配合。双侧病理征阴性。颈软,Kernig sign、Brudzinski sign阴性。外院MR提示颅内多发异常信号,结合临床考虑子痫性脑病,不排除桥脑中央髓鞘溶解综合症。

诊断考虑:头晕呕吐后四肢抽搐查因:可逆性脑后部白质病变? 静脉窦血栓形成?。进一步完善MR+增强+MRV检查,结果提示:
1、双侧额顶枕叶、桥脑及中脑、左侧小脑半球、双侧基底节区及右侧侧脑室旁,左侧放射冠区多发病变,结合病史,考虑可逆性后部白质脑病综合症,建议治疗后复查;
2、MRV检查示未见异常。经过影像科专家及上级医生会诊,考虑诊断为可逆性脑后部白质病变,给予激素冲击治疗,患者症状迅速控制,1天后患者血压稳定,未诉出现头痛头昏,恶心呕吐,未出现四肢抽搐,3天后痊愈出院。
Copyright 2006-2026 广东三九脑科医院版权所有 粤ICP备11100995号 服务性质:非营利性网站 粤卫网审(2013)10号
粤公网安备 44011102002143号