http://www.999brain.com 时间:2016-05-04 编辑:廖紫阳 阅读:3469
□文/内二科 钟水生 潘梦秋 曾昭龙
【病例摘要】
患者谢某,男,32岁,因“间断性头痛1月余“于2015年4月1日入院,2015年4月16日出院。查体:右眼外展受限,余未见明显阳性体征。
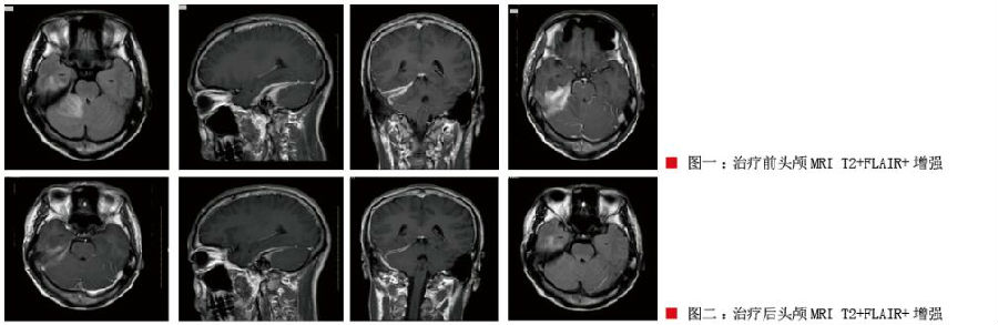
入院后行腰穿脑脊液常规示白细胞计数(WBC) 34×106/L,脑脊液蛋白 0.73g/L。头颅MRI示右侧岩部、右侧海绵窦区硬脑膜及右侧小脑幕异常增厚强化,考虑多发硬脑膜炎合并周围水肿、右侧大脑脚软脑膜炎可能性大,右侧乳突炎症(感染源可能?),鼻咽部右侧壁略增厚。考虑感染性病变可能(见图一)。
诊断为:
1、肥厚性硬脑膜炎;
2、右侧乳突炎。给予头孢曲松钠抗感染、甘露醇减轻水肿、地塞米松消炎治疗2周。4月13日复查MRI+增强:右侧岩部、右侧海绵窦区硬脑膜及右侧小脑幕异常增厚强化,程度较前有所减轻,邻近右侧小脑半球水肿较前明显减轻、右侧颞枕叶水肿较前有减轻;右侧大脑脚软脑膜炎较前减轻(见图二)。出院后患者头痛缓解,肢体活动好。
【专家点评】
肥厚性硬脑膜炎( HCP)是一种颅内硬脑膜局灶性或弥漫性增厚和纤维化炎性反应为特征的中枢神经系统少见疾病,多以慢性头痛、多组脑神经麻痹、小脑性共济失调、癫痫发作等为首发症状,头颅核磁共振(MRI)增强扫描有特异性。该病是以颅内硬脑膜组织纤维性增生并玻璃样变,导致硬脑膜局灶性或弥漫性增厚为病理特点,临床上根据病因分为特发性肥厚性硬脑膜炎(IHCP)和继发性肥厚性硬脑膜炎(SHCP)。后者主要是由于结核杆菌、真菌等颅内感染以及韦格纳肉芽肿(Wegerner肉芽肿)等引起,因此SHCP也有人称为炎性HCP,另外少有肿瘤转移、浸润所致。未能明确病因的被称为IHCP,目前多数学者认为IHCP可能与血管炎等免疫性疾病有关。诊治较困难。鉴别主要需与脑肿瘤等鉴别,抓住以下诊断要点,对诊断帮助很大:
亚急性起病,可发生于任何年龄,50-60岁好发,多见于男性。
慢性头痛和多组脑神经损害是最常见的临床表现,可伴有小脑性共济失调、癫痫发作等。
MRI平扫可见肥厚的硬脑膜在T1上呈等或略低信号,T2上常为低信号,有时可伴高信号,强化MRI具有特征性,可见增厚的硬脑膜呈明显的结节状或线性强化。
HCP的治疗应根据病因进行针对性治疗,SHCP应结合病原学检查及药敏实验结果选择用药,IHCP与自身免疫有关,目前多采用皮质类固醇激素治疗。预后较差,容易复发。
总结:对于临床长期慢性头痛患者,特别是头颅CT检查可见小脑幕、大脑镰呈高密度患者,均应进行MR增强检查以提高检出率,避免误诊及漏诊,减少诊断及治疗给患者带来的痛苦。

Copyright 2006-2026 广东三九脑科医院版权所有 粤ICP备11100995号 服务性质:非营利性网站 粤卫网审(2013)10号
粤公网安备 44011102002143号