http://www.999brain.com 时间:2016-04-18 编辑:廖紫阳 阅读:2036
□文/外七科 肖贤军 许锡镇 吾太华
【病例摘要】
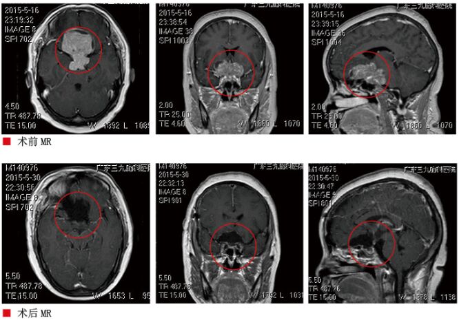
患者陈某,女,53岁,因多饮、多尿、视力下降4年,于2015年5月27日入院,6月17日出院,共住院21天。患者4年前开始出现多饮、多尿、视力下降,在当地医院检查CT发现“鞍区肿瘤”,为进一步治疗,就诊我院。入院查体:神志清楚,语言流利。视力左眼0.4,右眼10cm数指。视野粗测双颞侧偏盲。双侧瞳孔等大等圆,对光反射灵敏。眼球位置居中,无震颤,眼球活动正常。入院后查血糖高,生长激素低。视野检查提示左眼鼻下视野正常,鼻上、颞上下视野异常。右眼15cm数指,视野全向偏盲。入院后完善术前检查,头部MR提示鞍内、鞍上有一巨大占位病变,蝶鞍明显扩大,肿瘤最大径60mm×49mm×40mm。病灶包绕双侧大脑前动脉,考虑巨大垂体腺瘤。于6月1日在全麻下经右额外侧入路鞍区病变切除术,术中见肿瘤呈肉红色、质软、血运丰富,有包膜,予以分块切除肿瘤,术程顺利。术后病检结果:垂体腺瘤。术后右侧视力左眼0.6,右眼0.5,视野正常。多饮多尿减轻。术后电解质正常,血糖控制在正常范围内,术后头部MR示肿瘤全切,顺利出院。

【专家点评】
垂体腺瘤是鞍区最常见的肿瘤,其临床表现主要为视力下降、视野缺损及内分泌功能紊乱。目前垂体肿瘤的手术方式主要有两种:经颅和经鼻蝶手术。经鼻蝶入路手术创伤小,在临床上已成为首选的手术入路。但对于向鞍旁、鞍上侵袭的大腺瘤,尤其是非典型大腺瘤经额外侧入路手术是较佳的手术方式。有以下优点:①利用脑的自然解剖间隙进行手术,可达到鞍旁、鞍上等;②对鞍区的重要结构,如视神经、视交叉、下丘脑、垂体柄、颈内动脉及各分支、穿通动脉等可在直视下保护;③可通过鞍区多个间隙对肿瘤进行手术,有利于肿瘤全切。
巨大垂体腺瘤将视神经压成薄片状,术中如过多推挤或牵拉视神经,术后常常导致视力下降,甚至丧失。因此耐心地将肿瘤组织切除1/2至2/3时,再分离肿瘤包膜与视神经的粘连,给予锐性切除,切忌粗暴牵拉。分离肿瘤包膜时靠近视神经、视交叉,尽量减少双极电凝烧灼,以避免对视神经热损伤。即使对已经丧失视力的视神经及视交叉也要极力保护,不可损伤和切断。术中视觉诱发电位监测可为术者提供操作信息,减小甚至避免损伤视神经、视交叉。本例患者术中在视觉诱发电位监测下切除肿瘤,术后视力明显改善。
总之巨大垂体腺瘤的手术切除仍是对神经外科医生的巨大挑战,选择适当的手术入路,且术者具备扎实的显微技术及良好的解剖知识,才可能全切肿瘤而不出现严重并发症,取得良好的疗效。
Copyright 2006-2026 广东三九脑科医院版权所有 粤ICP备11100995号 服务性质:非营利性网站 粤卫网审(2013)10号
粤公网安备 44011102002143号