http://www.999brain.com □文/神经内二科 钟水生 潘梦秋 时间:2014-11-19 编辑:廖紫阳 阅读:1954

■ 术前MR
【病例摘要】
患者,刘某某,男,49岁,因“反复头痛2天余”于2014年3月21日13:40分入院。3月25日出院。患者于2天前无明显诱因出现头部持续性拉扯样疼痛,时轻时重,剧烈时难以忍受,伴咳嗽咳血丝痰,无恶心呕吐及畏光怕声, 无视物模糊及肢体无力,为进一步诊治门诊以“头痛查因”收入我科住院治疗。
既往史:发现“高血压病”2年余,未行正规降压治疗。
查体:血压228/150mmhg,意识清楚,言语流利,双侧瞳孔等大等圆,约3mm,双侧直接及间接对光反射灵敏,双侧眼球向各个方向运动不受限,眼底检查:双侧视乳头鼻侧边界不清,色淡红,动脉和静脉比为1∶2。双侧鼻唇沟对称,口角无歪斜,咽反射正常存在,颈软,Kernig征、Brudzinski征阴性,四肢肌力5级,肌张力正常,双侧腱反射正常,双侧指鼻试验、快复轮替试验及跟膝胫试验均完成可。双侧Babinski征、Chaddock征均阴性。
入院后次日行头颅MRI示桥脑及中脑异常信号,MRA示右侧大脑中动脉粗细不均(见图一)。腰穿脑脊液常规示白细胞计数(WBC)4×106/L,透明度透明,蛋白定性(Pandy`s 试验)±,颜色无色,脑脊液生化示总蛋白(TP)0.65g/L。进一步完善MRI弥散+增强+MRV+MRS示脑干病变范围较前略缩小,信号较前减弱,DWI示低或等信号,ADC示高信事情,病变弥散无受限,增强无强化(见图二),结合患者血压高达228/150mmhg,目前脑干病变考虑为高血压脑病引起的可逆性后部白质脑病。
诊断为:
1.可逆性后部白质脑病综合征;
2.高血压病(3级,极高危组)。
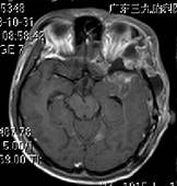
给予依达拉奉抗血管源性水肿,厄贝沙坦、倍它乐克降压及加强对症支持治疗1周。复查头颅MRI(见图三)病灶明显好转。

■ 术后MR
出院后患者头痛缓解,肢体活动好,健康回归社会。
【专家点评】
可逆性后部白质脑病综合征( PRES )是Hinchey等1996年首先报道的。以其病变部位和可逆性的特点来命名的。是一组由多种原因引起的以神经系统异常为主要表现的综合征,临床表现以迅速进展的头痛、颅高压症状、癫痫发作、视觉障碍、意识障碍、精神异常为特征,神经影像学上显示以双侧大脑后部白质为主水肿区。
经及时有效治疗后临床表现和神经影像学改变可以完全恢复,一般不遗留有神经系统后遗症。诊断困难,治疗容易。鉴别主要需与多发性硬化、脑梗塞、脑肿瘤鉴别,抓住以下诊断要点,对诊断帮助很大:急性起病;有高血压病、尿毒症或化疗病史;症状轻,影像重;眼底检查视乳头水肿;病灶以皮质和皮质下脑水肿为主,一般双侧顶、枕叶多见,双侧对称,后循环多于前循环;DWI低信号、ADC呈高信号;预后好。
大多数情况下,颅内多发病灶,首先考虑为常见病脑梗塞、多发性硬化、原发性中枢神经系统淋巴瘤及胶质瘤等,且这些病大多预后较差,如遇到高血压、尿毒症及化疗病史患者出现颅内多发病灶,特别是顶枕叶对称或脑干病变,需着重考虑可逆性后部白质脑病综合征( PRES )。
Copyright 2006-2026 广东三九脑科医院版权所有 粤ICP备11100995号 服务性质:非营利性网站 粤卫网审(2013)10号
粤公网安备 44011102002143号