http://www.999brain.com 时间:2016-07-31 来源:神经外六科 编辑:YSS 阅读:9281
8年前,当时44岁的郑先生无明显诱因出现了右侧面部疼痛,感觉像电击一样痛,以右侧下颌部最为明显。疼痛感剧烈得让郑先生难以忍受,休息后也无法得到缓解。他曾多次前往当地医院就诊,医生给予口服药物治疗,但病情无明显好转,期间更换过多种口服药物,效果都不太好。之后,郑先生觉得右侧面部疼痛的症状逐渐加重,进食的时候疼痛格外显著,夜间他常因疼痛难以入眠。
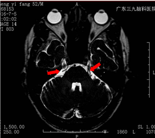
为了进一步治疗自己的疼痛问题,郑先生来到广东三九脑科医院。微侵袭神经外科的医生诊断其为:右侧三叉神经痛,MR检查可见双侧三叉神经颅内段与周围一小血管关系密切。


MR可见双侧三叉神经上骑跨的小血管(箭头所示)
经科室讨论,结合郑先生的病史及影像学检查结果,医生决定为其行手术治疗。完善了各项相关术前检查,郑先生在全麻下接受了“右侧三叉神经微血管减压术”,手术过程很顺利。术后,郑先生神志清楚,精神、饮食及睡眠情况均良好,右侧面部疼痛感消失了。10天后,他拆线出院。
20天后,医生电话随访郑先生现在的恢复情况,他表示没有再出现面部疼痛的症状,队疗效感到满意。

术中可见三叉神经上所包绕的血管。(箭头1所示为三叉神经;箭头2所示为包绕血管)

术中将包绕三叉神经的血管分离并隔开。
【专家点评】
微侵袭神经外科的吴杰主任介绍:三叉神经痛是在一种在面部三叉神经分布区内反复发作的阵发性剧烈神经痛,三叉神经痛是神经外科常见病之一。国内统计的发病率52.2/10万,女略多于男,发病率可随年龄而增长。三叉神经痛多发生于中老年人,右侧多于左侧。该病的特点是:在头面部三叉神经分布区域内,发病骤发,骤停、闪电样、刀割样、烧灼样、顽固性、难以忍受的剧烈性疼痛。说话、洗脸、刷牙,甚至走路时都会导致阵发性时的剧烈疼痛。疼痛历时数秒或数分钟,疼痛呈周期性发作。
三叉神经痛可以先通过药物治疗,首选药物为卡马西平,对药物过敏或是长期药物治疗效果不佳者,可以考虑手术治疗—微血管减压术,80-90%三叉神经痛是由于血管压迫造成的,锁孔入路显微血管减压术是治疗三叉神经痛的首选治疗方法,有效率到90%以上,手术没有破坏三叉神经,术后疼痛即可消失,效果立竿见影。

Copyright 2006-2026 广东三九脑科医院版权所有 粤ICP备11100995号 服务性质:非营利性网站 粤卫网审(2013)10号
粤公网安备 44011102002143号