http://www.999brain.com 时间:2016-08-23 来源:神经外六科 编辑:YSS 阅读:18073
小月(化名),5岁,因发作性嘴角抽搐7个月入院治疗。
7个月前,小月开始无明显诱因出现发声过后左侧嘴角不自主抽搐,并伴随意识不清及流水口的症状;持续约1-2分钟后会自行缓解,发作前后没有明显的不适;平均每天有数次发作。
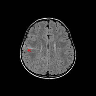
为了查明病因并进一步治疗,家人带小月来到广东三九脑科医院,入院后完善了相关检查,头部MR提示:右侧脑室体后部室管膜下示一结节状稍低信号影,无明显占位效应;双侧大脑半球皮层及皮层下示多发斑片状高信号影,结节性硬化。脑电图报告显示:双侧颞、中央区及右侧顶区可见少量中高波幅棘-慢波非同步发放,以右侧最为明显。脑磁图提示:发作间期,发作期癫痫灶位于右侧中央区可能性大。
微侵袭神经外科的吴杰主任考虑小月的癫痫灶为右额中央区的结节性硬化病变。几日后,吴杰主任为其实施了“右额中央区癫痫灶切除术”,术中经导航确认病灶组织;皮层电极检查局部有少量尖波发放,电刺激术区均未有运动反应,医生在显微镜下切除病变。
术后,小月恢复良好,没有出现癫痫发作。

术前MR

术中

全切后

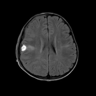
术后MR
广东三九脑科医院微侵袭神经外科的吴杰主任介绍介绍:结节性硬化又称Bourneville病,是由单一的常染色体显性基因遗传所引起的复合性发育不良。主要病变为中枢神经系统的胶质结节,可合并皮肤(面部)皮脂腺瘤和其他脏器肿瘤。典型症状为:面部淡红色的呈蝶状分布的皮脂腺瘤,癫痫发作,智力缺陷。如有癫痫发作且明确异常放电区域,可手术治疗。

Copyright 2006-2026 广东三九脑科医院版权所有 粤ICP备11100995号 服务性质:非营利性网站 粤卫网审(2013)10号
粤公网安备 44011102002143号