http://www.999brain.com 时间:2016-09-08 来源:神经内二科 编辑:YSS 阅读:11589
殷阿姨,今年65岁了,3年多以前,她开始出现记忆力下降、行为怪异等表现,最近半年多以来,病情持续加重。家人带殷阿姨到广东三九脑科医院就诊,查体时她不是很配合,医生发现她的情感不正常,判断力及计算能力较差,近期和远期的记忆力有所下降。
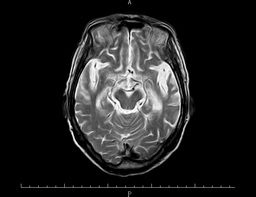
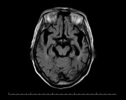
之后,医生为殷阿姨完善了其他检查,颅脑海马+MRA显示:1.双侧基底节区多发腔梗灶;2.脑白质变性;3.幕上(包括双侧海马)弥漫性脑萎缩,以左侧颞叶为著; 4.脑MRA检查提示脑动脉粥样硬化(图一)。颅脑ASL提示:全脑3D-ASL序列检查提示左侧额颞顶枕叶及右侧颞顶枕叶多发稍低灌注区,以左侧大脑半球为主(图二)。
结合殷阿姨的临床症状及相关测量、检查报告,神经内二科的钟水生主任诊断为:1、阿尔茨海默病(AD);2、器质性精神障碍,并为殷阿姨制定了治疗方案:病因治疗、益智药(如胆碱酯酶抑制剂及美金刚)、抗精神病药、抗抑郁药、康复理疗、生活护理及加强营养支持等综合治疗。经过一段时间的治疗,殷阿姨的病情有了好转。
广东三九脑科医院神经内二科钟水生主任介绍:痴呆的发生多缓慢隐匿。记忆减退是主要的核心症状。早期出现近记忆障碍,学习新事物的能力明显减退,严重者甚至找不到回家的路。随着病情的进一步发展,远记忆也受损。思维缓慢、贫乏,对一般事物的理解力和判断力越来越差,注意力日渐受损,可出现时间、地点和人物定向障碍。
情绪方面,可表现为情绪不稳、淡漠及迟钝、失去控制能力、焦虑不安、抑郁消极、易哭易笑及不能自制。部分患者可首先出现人格改变。晚期生活不能自理,甚至出现躁狂,幻觉等。
痴呆进行性加重,患者几年之内丧失独立生活能力,多死于肺部感染和营养不良。如能及时发现、及早治疗,部分非变性病痴呆患者预后相对较好。


头颅MRI T2图一 MRI FLAIR 图一

头颅MRA图一

头颅ASL图二

Copyright 2006-2026 广东三九脑科医院版权所有 粤ICP备11100995号 服务性质:非营利性网站 粤卫网审(2013)10号
粤公网安备 44011102002143号