http://www.999brain.com 时间:2016-09-09 来源:神经外一科 编辑:韦庆锋 阅读:46883
还记得用稚嫩声音,大声说出自己的梦想嘛?我要做一名军人保家卫国,我要做科学家给国家制造航天飞机,我长大了要做一名运动员为祖国夺金牌添荣誉,我要做一名水手,在大海劈波斩浪等。
小涂,23岁的时候实现自己小时候的梦想,做一名优秀帆船运动员,扬帆大海,驰骋碧波。一次训练之后,小涂出现头痛、头晕,伴乏力感,右侧眼睑下垂,当地医院就诊,查头颅MRI提示:脑室内占位性病变,脑积水。为求治疗,来我院就诊治疗。

▲术前检查
广东三九脑科医院的神经外一科接诊后,迅速为病人安排了检查,磁共振检查提示:1.脑室内占位性病变,2.脑积水。入院时小涂想到因为手术可能会断送了自己运动生涯,多次暗暗落泪。为了完成全切肿瘤,而最大程度保留小涂的运动功能,科室组织专家进行了病例讨论,经大家讨论后,首选手术治疗,进行了详细手术前准备和模拟操作,并向家属和病人介绍了手术方案及可能存在的风险。小涂表示接受及理解,并增强治疗的信心。

▲术前CTA显示肿瘤位置、血供情况
在神经外一科张良主任主刀下完成手术治疗切除,术后系统支持和康复训练后,患者神志清楚,语言清晰,四肢活动自如。可喜的是经过系统康复恢复后,他仍可以继续运动生涯。术后病理诊断为脑室内肿瘤,符合中枢性神经细胞瘤诊断。8月随访情况,经过一年多的恢复,患者每星期能完成一百公里跑步训练,体能恢复和以前国家队的时候差不多了,患有巨大中枢神经细胞瘤的他,重新站在帆船赛场上,扬帆远航,劈波斩浪。

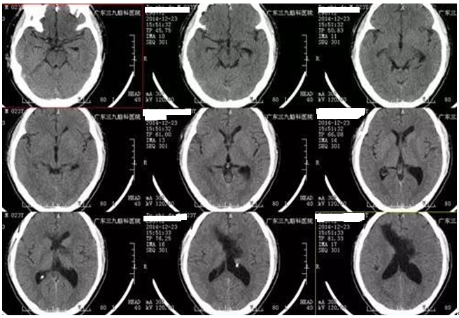
▲术后检查
专家点评
中枢神经细胞瘤发病率占中枢神经系统肿瘤的0.25%-0.5%,发病年龄以20-40岁居多,无明显性别差异,好发于侧脑室内,绝大多数位于脑室内中线幕上的位置,病变横跨侧脑室和第三脑室,最常见的部位是靠近透明隔和Monro孔区,少数发生在大脑、小脑、脑于和脊髓。本例患者病变主体位于脑室内透明隔区,并向下压迫monro孔,为中枢神经细胞瘤好发部位。
中枢神经细胞瘤多生长缓慢,临床表现缺乏特异性,患者症状与发病部位和肿瘤大小密切相关,并且与患者的耐受程度有一定关系。早期症状多比较轻微,主要为头晕不适,很容易被误诊。 肿瘤体积增大后,可通过室间孔累及三脑室或中脑导水管,阻塞脑脊液循环通路,出现梗阻性脑积水及颅内压增高的一系列临床表现。本例患者主要症状为头痛、乏力,并伴右侧眼睑下垂,与病变造成的颅内压增高和脑积水有关。
中枢神经细胞瘤CT表现为边缘不规则的类圆形等或稍高密度肿块, 增强后呈不均匀轻到中等强化,常有钙化、囊性变及坏死。MR检查可见 瘤体呈蜂窝状或丝瓜瓤样囊变, 此为中枢神经细胞瘤的特征性表现。中枢神经细胞瘤多呈囊实性,实性部分T1WI、T2WI呈等或略高信号,囊性部分T1WI呈与脑脊液相等或略高的低信号,T2WI呈高信号。肿瘤边缘丝网状改变、 脑室内的信号不一及匍行性流空均是中枢神经细胞瘤特征性MR表现。本例患者CT平扫呈稍高密度分叶状,MR示异常T1WI高信号影,其内信号不均匀,边界清晰,范围约66.7mm×55.3mm×46.5mm,肿瘤体积较大,与侧脑室壁、丘脑、下丘脑及大脑脑静脉等中线结构紧邻。
中枢神经细胞瘤多为良性或低度恶性,预后良好,部分预后较差。手术切除全部肿瘤是中枢神经细胞瘤的首选治疗方法。手术切除的目的主要在于解除梗阻性脑积水,全切术后并发症较多,但整体治愈率高。中枢神经细胞瘤对放疗极为敏感有效,结合术后放疗可获得长期生存。本例肿瘤体积较大,与侧脑室壁、丘脑、下丘脑及大脑大静脉等中线结构紧邻,虽然术中血供丰富,切除肿瘤困难,但是做到了全切肿瘤。术后恢复良好,未有明确并发症出现。术中造瘘(脚间池、四叠体池)避免了分流手术。

Copyright 2006-2026 广东三九脑科医院版权所有 粤ICP备11100995号 服务性质:非营利性网站 粤卫网审(2013)10号
粤公网安备 44011102002143号