http://www.999brain.com 时间:2016-10-31 来源:综合神经外科 编辑:XL 阅读:59649
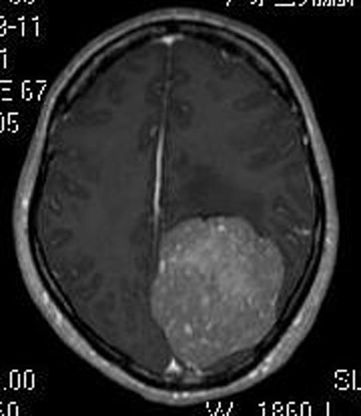
吴小姐4个月前出现反复头痛,伴有双眼视物模糊,偶有右耳耳鸣,无明显头痛等不适,当地医院头颅CT检查提示“左侧顶枕叶占位,考虑脑膜瘤”;广东三九脑科医院头颅MR检查显示:左侧顶枕部占位性病变,范围约7.1cm×6.8cm×5.9cm;进一步行头颅CTA检查提示:其内血供丰富。

由鲁明主任主刀,在全麻下行左侧顶枕部巨大脑膜瘤切除术,术中见肿瘤呈灰褐色,质中,边界较清,血供丰富,显微镜下分块全切肿瘤,手术过程顺利。术后吴女士头痛症状明显较前好转,四肢肌力、肌张力正常,康复出院。术后病理结果提示:脑膜皮细胞型脑膜瘤 WHO I级。


Copyright 2006-2026 广东三九脑科医院版权所有 粤ICP备11100995号 服务性质:非营利性网站 粤卫网审(2013)10号
粤公网安备 44011102002143号