http://www.999brain.com 时间:2017-06-22 来源:综合神经外科 编辑:XL 阅读:52214
阿香二月前出现阵发性头痛头晕,休息后可缓解;未行头颅相关检查及治疗。二天前头痛加重,并伴有恶心,当地医院头颅CT示“左侧基底节、脑室占位性病变,性质待查”,医生告知家属:肿瘤性质不能明确,建议转上级医院就诊。
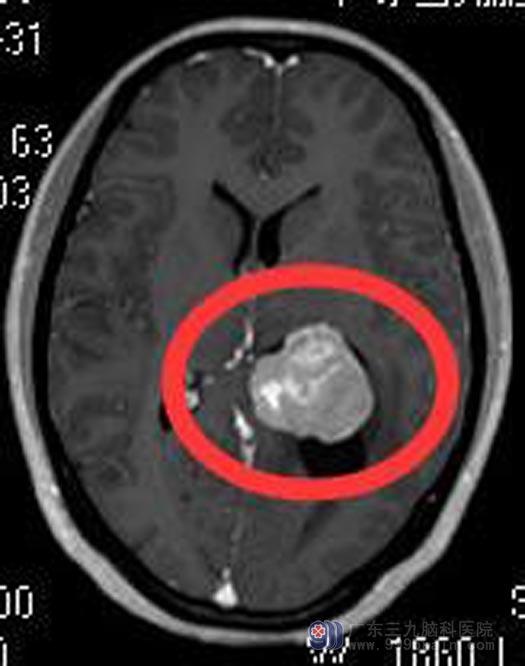
家里人立即火急火燎地赶到广东三九脑科医院综合神经外科,进一步头颅MR检查提示:左侧侧脑室后角内占位性病变,大小约3.6cm×3.4cm×3.3cm,考虑脑膜瘤可能。

完善术前检查后,鲁明主任主刀,在全麻下行左侧脑室后角占位切除术,术中显微镜下见灰白色肿瘤组织,肿瘤质脆,血供丰富,边界清晰;镜下用激光刀分块全切除肿瘤,手术经过顺利。术后,阿香头痛症状好转,康复出院。病理回报:脑膜瘤,纤维细胞型,WHO I级。


Copyright 2006-2026 广东三九脑科医院版权所有 粤ICP备11100995号 服务性质:非营利性网站 粤卫网审(2013)10号
粤公网安备 44011102002143号