http://www.999brain.com 时间:2016-11-21 编辑:廖紫阳 阅读:14493
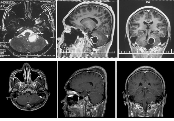
陈某近期突然无缘无故的出现头晕,行走不稳,可当时家里人和他都没有在意这些不舒服。可就在近1周头晕加重,且出现左耳听力下降,呕吐,严重影响到了自己的正常生活和工作,这才到广州一家综合医院就诊,行磁共振检查,诊断“左侧桥小脑角区肿瘤”,肿瘤呈囊实性,大小约30mm×22mm×26mm,有蒂长入左侧舌下神经管,增强扫描环形强化,脑干、小脑受压,四脑室稍变窄。这一下就让陈某一家人十分焦急,多方打听后,决定到广东三九脑科医院血管神经外科就诊,办理入院后初步检查显示陈某听力粗测正常右侧正常,左耳听力下降。伸舌居中,耸肩有力。四肢肌力5级,肌张力正常。腱反射正常,巴氏佂阴性。左侧跟膝胫试验阳,步行向左侧偏移。完善CTA以及其他术前检查,积极术前准备,于近期在全麻下行左侧桥小脑角区肿瘤切除术,术中见肿瘤呈淡红色,与迷走神经粘连紧密。小心分离出迷走神经,以及肿瘤脑干面,最后从舌下神经分离出肿瘤,全切肿瘤,术中电生理监测正常,术程顺利,术后给予抗炎,止血,营养神经等治疗。术后病理结果:舌下神经良性肿瘤。
【专家点评】
血管神经外科吾太华主任介绍道:舌下神经鞘瘤是来自雪旺细胞的良性肿瘤,起源于运动性颅神经,最初由De Martel于1933年报道。根据肿瘤的生长方式不同可分为三种类型:颅内型、颅外型和路内外沟通型,其最常见临床表现是同侧的舌麻痹和舌萎缩,累及后组颅神经时也可出现吞咽困难、进食呛咳及声音嘶哑等。目前舌下神经鞘瘤的治疗国内多采用手术,但因舌下神经管位置深在,周围解剖结构复杂,邻近脑干、脊髓等重要组织,造成暴露及手术操作困难极大。
本例患者肿瘤位于脑外桥小脑角池内,位置偏前,属于颅内型,采用乙状窦后入路可更好的暴露肿瘤。因肿瘤体积较大,术中重点注意椎动脉、小脑后下动脉及后组颅神经等的保护。术中应用颅神经和脑干电生理监测,有助于减少术后并发症的产生。

病理检查结果

术前与术后影像学检查

Copyright 2006-2026 广东三九脑科医院版权所有 粤ICP备11100995号 服务性质:非营利性网站 粤卫网审(2013)10号
粤公网安备 44011102002143号