http://www.999brain.com 时间:2017-01-05 来源:神经外六科 编辑:YSS 阅读:21580
5年前,小敏无明显原因出现发作性意识丧失,并伴随肢体抽搐,持续数分钟后会自行缓解。发作前无明显诱因,但她自己常有异常感觉。白天与睡眠中均有发作,发作次数无明显规律,一般每月数次。当地医院给予口服药物(拉莫三嗪等)治疗后有改善。为求进一步治疗,家属带其来到广东三九脑科医院。
小敏告知医生,5岁时曾有高热后意识障碍病史,门诊检查视频脑电图显示双侧颞区异常放电,头部核磁共振检查显示左侧海马硬化,医生诊断为癫痫病,并收治入院。
住院期间视频脑电图显示:重度异常脑电图;间期癫痫样发电,左侧颞区;先兆-肌张力障碍(右侧上肢)。头部MR提示:1.左侧海马萎缩、硬化;2.小脑轻度萎缩;3.右侧上颌窦粘膜下小囊肿。
经神经外六科吴杰主任及其团队详细评估后,为小敏全麻下行“左前颞叶切除术”。术后,小敏恢复良好,至今未见癫痫发作。术后病理回报提示:1、(左前颞叶、左海马)形态结合免疫组化符合局灶皮层发育不良伴海马硬化;2、(左杏仁核)符合癫痫改变。
神经外六科吴杰主任介绍:脑电图(EEG)在颞叶癫痫的诊断中必不可少,目前仍是金标准;颞叶癫痫的脑电图常见单侧或双侧颞叶的棘波,但也可为其他异常(包括非颞叶的异常)或无异常改变;长程视频脑电图监测至少要记录到3次以上与平时发作一致的自然发作。如果MRI提示有一侧海马硬化,同时脑电图又发现有同侧颞叶痫样放电,则强烈提示该侧颞叶可能为致痫灶。


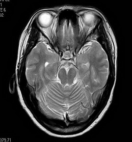
术前MR


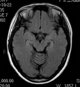
术后MR

术前发作期脑电图

术后3月复查脑电图(左侧颞区)

术后6月复查脑电图(左侧额、颞、中央区及Fz)

Copyright 2006-2026 广东三九脑科医院版权所有 粤ICP备11100995号 服务性质:非营利性网站 粤卫网审(2013)10号
粤公网安备 44011102002143号