http://www.999brain.com 时间:2017-06-26 来源:神经外二科 编辑:韦庆锋 阅读:41443
刘女士,39岁, 1个月前无明显诱因出现头痛,门诊CT提示:前颅窝一软组织肿块影,遂入住神经外一科治疗。入院后完善术前相关检查,磁共振提示前颅窝底一团块占位性病变,大小约5.5×6.5×3.7cm,行全麻下嗅沟脑膜瘤切除术,术中肿瘤全切,术后恢复良好。

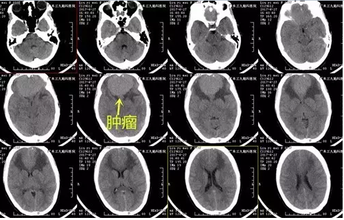
图1:术前CT显示前颅窝一软组织肿块影

图2:术前磁共振提示前颅窝底一团块占位性病变,大小约5.5×6.5×3.7cm

图3:术前、术后磁共振对比显示肿瘤全切
专家点评
广东三九脑科医院神经外一科张良主任介绍:嗅沟脑膜瘤占颅内脑膜瘤的4.45%,多见于30-50岁的中年人,女性多于男性,常起源于筛骨、筛板处的硬膜,多呈球形生长,可为单侧或双侧,双侧者往往以一侧为主,临床症状 主要有嗅觉障碍、颅内压增高、视力减退、癫痫和精神异常等,但由于额叶属于相对哑区,因此这些症状不易被早期发现,嗅觉障碍也常被误诊为“鼻窦炎”而延误诊断。又因为肿瘤为良性,生长缓慢,早期不易引起头痛、恶心等颅高压症状,致使肿瘤在发现时多 已体积较大。本例患者39岁,为好发年龄,最初以头痛起病,未引起重视,出现视物模糊检查时肿瘤体积已达5.5×6.5×3.7cm。
手术是治疗嗅沟脑膜瘤特别是巨大嗅沟脑膜瘤的唯一有效方法,应用显微镜手术技术,加上精细的手术操作技巧,巨大嗅沟脑膜瘤也能取得良好疗效。显微镜应用于嗅沟脑膜瘤的手术以来,体积较小的肿瘤切除并不困难,但对于体积巨大,后极累及垂体瘤、视交叉的大体积肿瘤仍具有挑战性。本例患者出现视物模糊症状,视交叉术前已受累及,术中切除相对难度较大,术后肿瘤全切除,目前未有明确并发症,视力恢复良好。
上一篇:小脑里的大肿瘤
Copyright 2006-2026 广东三九脑科医院版权所有 粤ICP备11100995号 服务性质:非营利性网站 粤卫网审(2013)10号
粤公网安备 44011102002143号