http://www.999brain.com 神经外七科(血管神经外科)供稿 时间:2011-09-22 编辑:韩雪媚 阅读:21819
摘要: 颈眼动脉段动脉瘤手术一直是神经外科高难度技术的标志性手术之一。日前,广东三九脑科医院 神经外七科(血管神经外科)在球囊辅助下,成功为一患者实施巨大颈眼动脉瘤夹闭术.
术前DSA

术前CTA

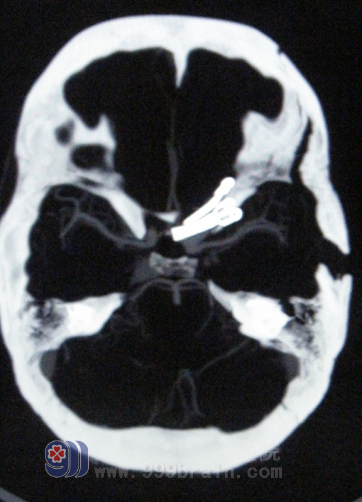
术后CTA

术后CTA
颈眼动脉段动脉瘤手术一直是神经外科高难度技术的标志性手术之一。日前,广东三九脑科医院 神经外七科(血管神经外科)在球囊辅助下,成功为一患者实施巨大颈眼动脉瘤夹闭术。www.999brain.com
40岁的杨女士,因持续性头部胀痛2月余,加重伴恶心呕吐6小时,于7月25日急诊入院。入院CTA及全脑血管造影术显示:左侧颈眼动脉巨大动脉瘤,呈囊状,约2.1cm*1.8cm大小,瘤颈1.17cm。
据了解,颈眼动脉瘤是一种相对少见的颅内动脉瘤,多以自发性蛛网膜下腔出血多为首发症状,常在劳累或激动时突然头痛、恶心、呕吐、颈项强直或部分意识障碍。“对于此类病人,时间就是生命,我们需要尽快拿出手术方案,为病人尽快手术。”神经外七科(血管神经外科) 吾太华主任称。www.999brain.com
经过分析杨女士的病情及影像学检查资料,专家团队意识到手术过程中将出现三大难题:一是巨大动脉瘤占据空间大,难以暴露瘤颈;二是载瘤动脉近端阻断困难;三是瘤颈深藏在前床突骨质内难以塑形和夹闭等。这些难题大大增加了术中出血的风险,稍有不慎将导致大出血而危及病人生命。而如选择相对安全的介入手术,费用昂贵,家庭无力承受。在征得家属同意后,决定在动脉瘤夹闭术前先施行一个球囊置入术,在术中再临时阻断载瘤动脉近端血流,然后再予以夹闭,以避免术中巨大动脉瘤破裂出血。www.999brain.com
经过术前严格的方案制定及规范的Matas训练后,于8月1日为患者实施手术。术前先置入球囊,并行球囊阻塞耐受试验,术中暴露动脉瘤后充盈球囊闭塞颈内动脉近端,最后夹闭动脉瘤。手术过程非常顺利,术后患者所有生命体征都平稳。经过3周的休养,杨女士康复出院。该手术的成功,标志着我院动脉瘤手术水平已达到国内先进行列。 www.999brain.com
【专家点评】
颈眼动脉瘤是位于颈内动脉的眼动脉和后交通动脉之间的动脉瘤,占颅内动脉瘤的0.47%-9.26%,以大型和巨大型较多。大型眼动脉段颈内动脉瘤因其解剖位置复杂,周围有眼动脉、垂体上动脉、前床突、视神经、视交叉等重要结构,手术操作空间狭小,故手术难度大,风险高,死亡率高,并发症多,对神经外科医生来说是一个巨大的挑战。
颈眼动脉瘤手术难点:1.巨大颈眼动脉瘤占据空间大,难以暴露瘤颈。2.颈眼动脉瘤因解剖关系:瘤颈深藏在前床突骨质内难以夹闭。3.近端载瘤动脉阻断困难。4.瘤颈超宽,瘤颈塑形困难。www.999brain.com
颈眼动脉瘤的临床特点:临床上颈眼动脉瘤与其他动脉瘤一样,多以蛛网膜下腔出血为主要首发症状,但也有其特点,如伴视力视野障碍,女性多见,体积大、多发性、出血性等特点,也有部份患者为偶然发现。因动脉瘤体积大,对视神经、视交叉神经产生压迫,临床上易造成视力障碍和视野缺损。由于动脉瘤体积大,瘤壁厚,并且瘤腔内常有血栓形成,周围骨性、硬膜性结构多,故动脉瘤破裂出血相对少,而且动脉瘤的顶部多被视神经覆盖,也可减少出血机会。
上一篇:发作性睡病
Copyright 2006-2026 广东三九脑科医院版权所有 粤ICP备11100995号 服务性质:非营利性网站 粤卫网审(2013)10号
粤公网安备 44011102002143号