在神经外五科的日常工作中,每一次救治都是一场与时间的赛跑。今天想和大家分享的,是我们刚刚经历的一次惊心动魄又充满温情的接力。
不久前,一位患者因持续头痛前来就诊。入院检查后,我们发现他的颅内有一处占位性病变,高度怀疑是转移瘤,并且已经引发了脑疝的早期迹象,随时可能危及生命。更让人揪心的是,进一步检查显示,肿瘤的根源来自肺部——这意味着他同时面临着肺癌和脑转移的双重打击。

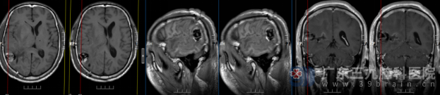
术前头颅MR检查提示: 1.右侧颞顶叶-侧脑室后角旁占位性病变,考虑转移瘤(其内少许渗血可能),伴右侧海马钩回疝、右侧大脑镰下疝,左侧侧脑室扩大伴间质性水肿; 2.脑膜转移待排; 3.脑白质高信号,Fazekas 1 级;
时间就是生命。神经外五科团队紧急启动多学科协作预案,联合影像科、呼吸内科、麻醉科等多个科室,在最短时间内完成了术前评估和准备。在全麻下,我们为患者实施了右侧颞枕叶-脑室后角转移瘤切除术+脑室外引流术,成功切除了颅内的转移灶,解除了脑疝风险,为后续治疗抢出了宝贵的时间窗口。

术后头颅CT检查提示:右侧颞枕叶-脑室后角占位切除术+脑室外引流术后改变,建议随诊复查。

病理报告:(右颞叶脑室枕角肿瘤)脑转移癌,结合病史及免疫组化结果,支持为转移性肺腺癌。

术后的病理结果证实,颅内肿瘤为肺腺癌转移灶。这个结果让诊断更加清晰,也为后续的全身抗肿瘤治疗指明了方向。经过精心的术后护理和对症支持,患者的头痛症状明显缓解,生命体征逐渐平稳。当患者和家属提出希望转回当地医院继续治疗时,我们不仅为他们做好了完整的病情交接,也留下了详细的后续康复建议。

术后头颅MR检查提示: 1.右侧颞枕叶-脑室后角占位切除术+脑室外引流术后改变,占位性病变已切除,术道及术区混合积液、积气; 2.右侧海马钩回疝、右侧大脑镰下疝较前减轻;左侧侧脑室扩大伴间质性水肿较前有所缓解;
对于晚期肿瘤患者来说,治疗从来不是一个科室的孤军奋战,而是一场多学科的接力赛。从紧急手术解除危机,到明确诊断规划后续方案,再到平稳过渡到下一阶段治疗,每一步都凝聚着团队的专业与温度。
我们深知,面对疾病,患者和家属承受着巨大的心理压力。因此,在专业救治之外,我们更希望用耐心的沟通和温暖的陪伴,成为他们可以依靠的力量。如果您或身边的亲友出现头痛、肢体麻木、视物模糊等异常症状,请及时就医,早发现、早干预,才能为生命争取更多可能。

https://www.999brain.com/sjwk/ExpertView-18-26.html

https://www.999brain.com/sjwk/ExpertView-18-303.html