九岁的小文住在农村,家里以务农为生,但是小文却非常爱读书,放学回家帮忙干农活的时候也不忘背课文,这让读书不多的父母对他寄予了厚望。
然而现实却狠残忍……
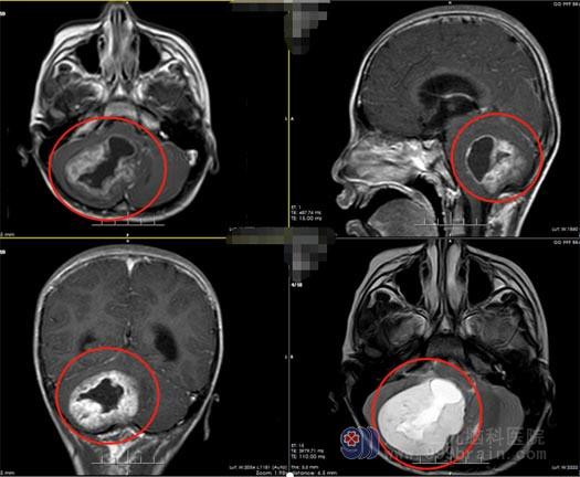
今年刚过完年,小文就开始出现呕吐。开始时,家里人以为过年吃的东西太杂,消化不良导致的,觉得养养胃就好了,没想到这一养就是半个月,症状没有丝毫的好转反而还有加重的趋势,这才让家人意识到了问题的严重性,在当地医院进行检查,头颅CT提示右侧小脑占位并脑积水,并且医生告诉他们小文的病情很严重,需要立即进行开颅手术,但是由于当地医疗技术水平有限,根本完成不了这个复杂的手术,一家人感觉天都要塌下来了。医生建议他们去广东三九脑科医院神经外五科看看,脑专科医院对这类颅脑肿瘤的疾病有着丰富的治疗经验,小文一家人像抓住了最后一根救命稻草,马不停蹄地赶往广州。
广东三九脑科医院鲁明副院长了解完小文的情况后也意识到事情不简单,立即安排小文进行了详细的检查,王国良主任带领外五科的专家团队进行了讨论,最后一致认为手术是最佳治疗方案,而且达到了刻不容缓的地步。在得到家属同意后,给小文实施了右侧小脑占位切除术,显微镜下全切肿瘤,手术顺利结束。

▲术前

▲术后
手术很成功,术后小文各项神经功能都正常,肢体活动也没问题,看着逐渐恢复的儿子,父母揪着的心缓缓放下……

点击查看医院副院长、神经外五科主任鲁明简介

点击查看神经外五科主任王国良简介
