头疼也有可能是脑瘤?
今年以来,48岁的萍姐(化名)右眼视力下降和频繁头痛,让她没想到的是,祸因竟是大脑深处悄然生长的两种肿瘤。
广东三九脑科医院副院长鲁明表示,头痛是脑肿瘤的常见症状之一,尤其是良性肿瘤生长缓慢,头痛症状往往不剧烈,通常表现为持续性钝痛。此外,脑肿瘤还伴有视力变化、肢体无力等症状。如果经常感到头痛,尤其是伴随其他症状时,应尽快就医,排除脑肿瘤或其他潜在疾病。

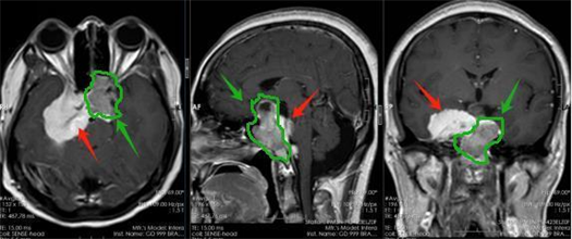
术前影像,其中绿色箭头考虑为垂体瘤,红色箭头考虑为脑膜瘤。
萍姐回忆,大概从两三年前起,她就时常头痛,以为是普通感冒,就自己服用止痛药,或者到诊所打针。然而,从年初开始,她的右眼的视力逐渐下降,以前用余光就能看见的人和物逐渐看不见了。
起初,萍姐以为是老花眼。随着头痛症状加重,她前往当地医院检查,才知道脑部竟然长了两个肿瘤。
8月初,萍姐来到广东三九脑科医院。鲁明接诊后发现,患者鞍区占位约3厘米,压迫视神经引起视力下降,考虑为垂体瘤;蝶骨嵴、海绵窦、斜坡占位约5.2厘米,引起颅高压症状,考虑为脑膜瘤。尽管两个肿瘤相邻,但体积均较大且位置特殊,难以一次性切除。因此,萍姐做了两次手术才成功将肿瘤切除。
鲁明解释,垂体瘤和脑膜瘤都是颅内常见的原发性肿瘤,同时发生在一位患者身上的情况相对少见。幸运的是,这两种肿瘤均为良性,手术切除后预后良好。
南方+记者 汪祥波
https://static.nfnews.com/content/202411/11/c10242477.html?from=weChatMessage&colID=1374&appversion=11800&firstColID=1374&enterColumnId=0&date=&layer=2